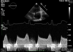
How would you diff b/w reverse remodelling and MV stenosis. Presented at recheck with mod severe pulmonary HT. Smll dog treated for chronic MVD stage C. US= LV under loading, FS > 50%, LAE remains significant. M e-vel is consistently 1.5m/s or higher but dec. time and press half time appear normal. E:A ratio around 1. Would LAE remain with aggressive medical Tx for MVD due to LA remodelling, LA compliance ,chronicity of MVD and ongoing reg. vol. compared to potential for LV to undergo reverse remodelling with Tx. Is stenosis seen much in min breed old dogs? Ls7 vid=2024. Tks!!




Comments
Hi
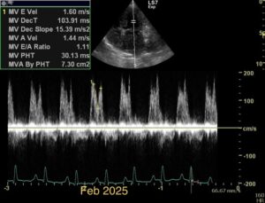
I see MS at all ages, because it is frequently missed in young dogs. But this case is not a MS. It is diagnosed as a combination of 2D-echo findings and the typical Minflow profile (E-wave very high frequently >2 m/s) confluent with A-wave. See image and video.
MS2
and video
MS2
Perfect!
Was afraid I missed in the previous submission when you suggested the possibility. Will always be looking a little closer going forward for a MS too in such cases.