– 10 year old DSH overweight MN presented for pu/pd but otherwise doing well
– glucosuria found with uirne culture pending – bloodwork pending
– mild hepatomegagly and mild hyperechoic liver echogenicity noted on ultrasound
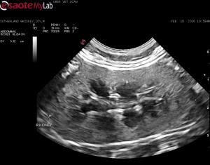
– kidneys are bilaterally enlarged (over 5cm) with hyperechoic coritices when compared to spleen but I don’t think they look abnormal otherwise and I have seen hyperechoic cortices in cats alot without disease (fat)
– no renal hypoechoic halo seen, no abdominal lymphadenopathy
– 10 year old DSH overweight MN presented for pu/pd but otherwise doing well
– glucosuria found with uirne culture pending – bloodwork pending
– mild hepatomegagly and mild hyperechoic liver echogenicity noted on ultrasound
– kidneys are bilaterally enlarged (over 5cm) with hyperechoic coritices when compared to spleen but I don’t think they look abnormal otherwise and I have seen hyperechoic cortices in cats alot without disease (fat)
– no renal hypoechoic halo seen, no abdominal lymphadenopathy
Do I worry about these? recommend FNA? monitor via ultrasound?
