Splenic abscessation and mass effect in a 10 month old MI German Shepherd

Case Study

Splenic abscessation and mass effect in a 10 month old MI German Shepherd

A 10-month-old MI German Shepherd was presented for progressive anorexia of one week duration. Abnormalities on physical examination were pyrexia (104° F), emaciation with a BCS of 2/9, tacky mucous membranes, and mild dehydration. Leukocytosis, left shift neutrophilia, hyperglobulinemia, and mild hypercholesterolemia were evident on blood work.

A 10-month-old MI German Shepherd was presented for progressive anorexia of one week duration. Abnormalities on physical examination were pyrexia (104° F), emaciation with a BCS of 2/9, tacky mucous membranes, and mild dehydration. Leukocytosis, left shift neutrophilia, hyperglobulinemia, and mild hypercholesterolemia were evident on blood work.

Sonographic Differential Diagnosis

Splenic abscessation is likely, due to the age of the patient, but neoplasia such as sarcoma or mast cell disease is possible.

Image Interpretation

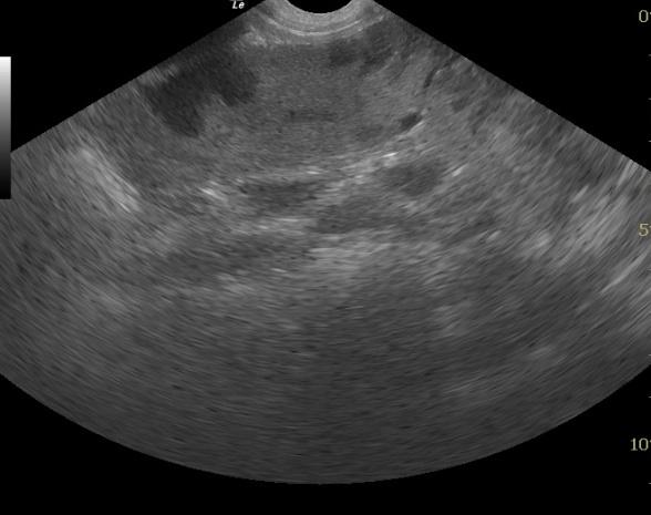
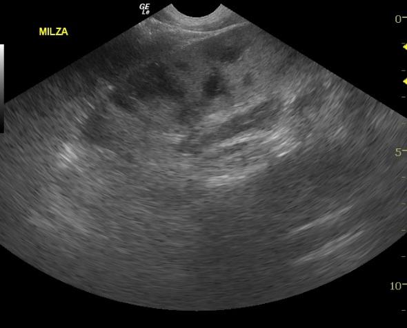
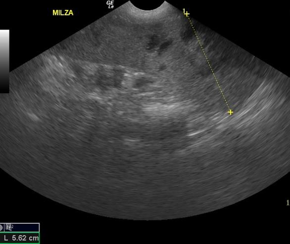
The spleen was heterogenous with mixed hypoechoic nodular or cavitated lesions and areas of capsular expansion. No evidence of rupture was noted. However, a mass is present at the caudal splenic body.

DX

Splenic abscessation

Outcome

Patient recovered uneventfully from the surgical procedure and was gaining weight and active shortly thereafter. Two-month follow-up revealed a thriving 1-year-old dog with no residual issues.

Comments

No video is available on this patient.

Clinical Differential Diagnosis

Systemic infectious disease – bacterial/fungal/protozoal, abscess within an organ, immune mediated disease.

Sampling

Full-thickness surgical biopsy and culture was obtained via splenectomy. Surgical inspection revealed multiple splenic abscesses. Bacterial culture from the spleen yielded no growth. The samples were then lost in transit and were not available for histopathological testing.

Patient Information

Patient Name : Paco
Gender : Male, Intact
Species : Canine
Type of Imaging : Ultrasound
Status : Complete
Liz Wuz Here : Yes
Code : 08_00003

Clinical Signs

  • Anorexia

Exam Finding

  • Dehydration
  • Fever
  • Weight loss

Images

SplenicabcessSplenicabcessSplenicabcess

Blood Chemistry

  • Cholesterol, High
  • Globulin, High

CBC

  • Left Shift
  • Neutrophils, High
  • WBC, High

Clinical Signs

  • Anorexia