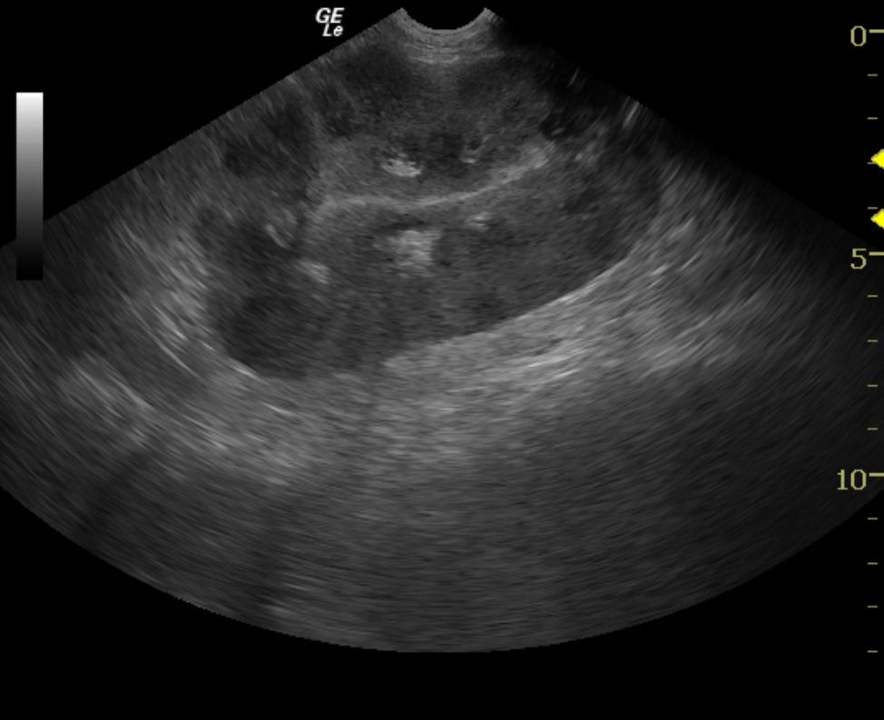
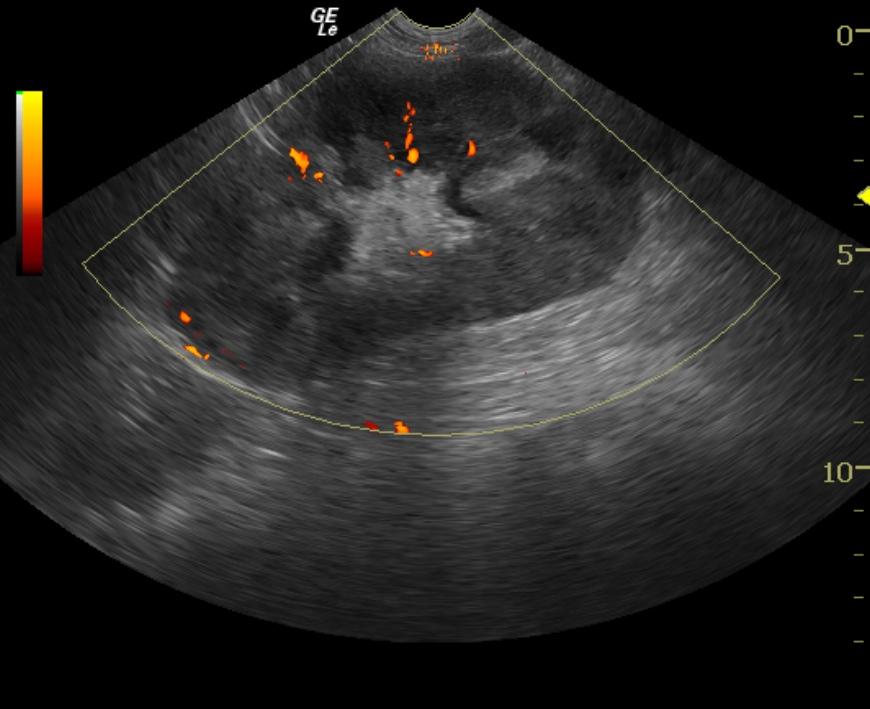
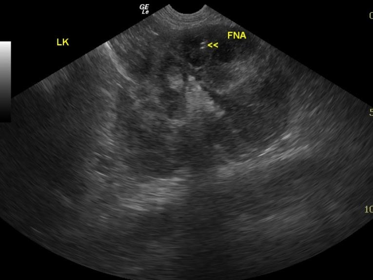
A 6-year-old female spayed Labrador Retriever dog was presented with upper gastrointestinal signs of 2 days’ duration. The patient was treated with antibiotics, gastroprotectants, and anti-emetics. Upper gastrointestinal signs continued despite the treatments, and the dog developed excessive panting and shaking. Blood chemistry revealed azotemia, hyperalbuminemia, and hyperphosphatemia. CBC revealed elevated hematocrit and elevated hemoglobin. Abdominal radiographs did not reveal any abnormalities.
A 6-year-old female spayed Labrador Retriever dog was presented with upper gastrointestinal signs of 2 days’ duration. The patient was treated with antibiotics, gastroprotectants, and anti-emetics. Upper gastrointestinal signs continued despite the treatments, and the dog developed excessive panting and shaking. Blood chemistry revealed azotemia, hyperalbuminemia, and hyperphosphatemia. CBC revealed elevated hematocrit and elevated hemoglobin. Abdominal radiographs did not reveal any abnormalities. The dog was treated with IV fluids, however her azotemia continued to worsen despite treatment.


