RADS – Tracheal and Bronchial Collapse, likely Bronchomalacia, in a 14 year old FS Pomeranian dog

Case Study

RADS – Tracheal and Bronchial Collapse, likely Bronchomalacia, in a 14 year old FS Pomeranian dog

History of non-productive cough of three days duration. Physical Exam: BAR, BCS 7/9, possible 1/6 murmur, panting during the entire exam.Temp 102.5. Round firm non-mobile 3-4 cm subcutaneous mass on the right side of the neck at C5-C7.

History of non-productive cough of three days duration. Physical Exam: BAR, BCS 7/9, possible 1/6 murmur, panting during the entire exam.Temp 102.5. Round firm non-mobile 3-4 cm subcutaneous mass on the right side of the neck at C5-C7.

Image Interpretation

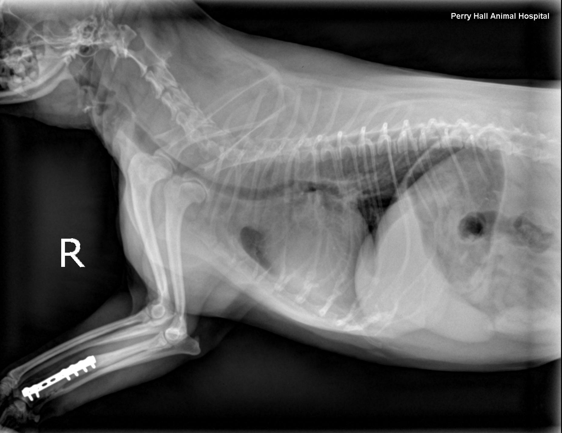
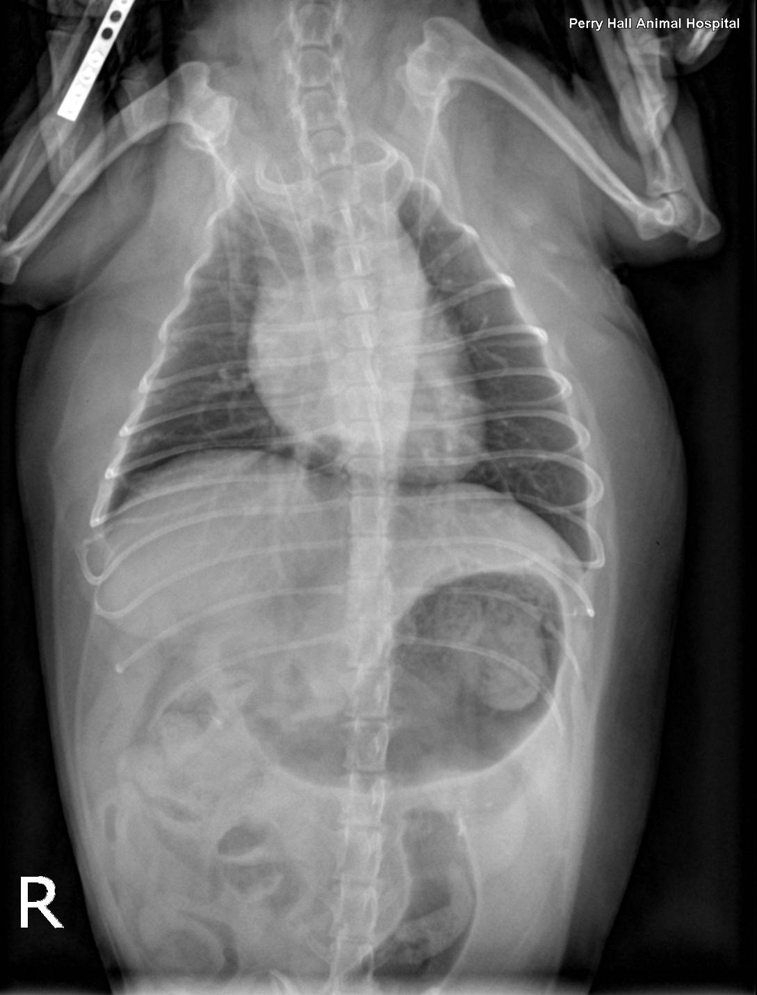
Rads- Left lateral, right lateral and VD views of the thorax and neck. One of the lateral views was obtained in fair inspiration (degree of inspiration reduced as a function of the disease), one was an expiratory view. There was mild to moderate rotation of the trunk in the lateral views. There was superimposition of the front limbs with the cranial thorax. The hands of the holding person were in the primary beam during exposure which is strictly prohibited.

The patient was obese.
Osseous structures: The patient showed a status after rightsided forearm fracture fixed with a DC plate in remodeling phase with radioulnar synostosis. There was mild bilateral shoulder osteoarthritis.
Extrathoracic soft tissue structures: The stomach was moderately distended with gas and food. The liver extended beyond the costal arch and mild lobar rounding was noted. There was a multilobulated soft tissue swelling with mass effect caudoventral to the mandibles.
Intrathoracic structures: The chest volume was small. There was an intrathoracic tracheal collapse and collapse of the main stem bronchi on the expiratory view. The height of the trachea was reduced by more than 50 % as compared with the inspiratory view. The tracheal lumen was reduced to a height of 2mm level with the thoracic inlet when collapsed. The cardiac silhouette was normal for size and shape. The major vessels were within normal limits. The pulmonary vessels and caudal vena cava were within normal limits. No mediastinal widening was noted.
The lungs showed diffuse increase in opacity caudodorsally on the expiratory view

DX

The radiographic findings are compatible with dynamic tracheal and bronchial collapse likely due to bronchomalacia.

Outcome

The prognosis is guarded because the chance for therapeutical success of tracheal stenting likely is limited by the bronchial collapse.
There was a soft tissue mass in the upper neck. Anatomically the lesion was compatible with the mandibular lymph nodes, mandibular salivary gland or other. Ultrasonographic examination and sampling should be considered.
There was no radiographic sign of cardiac disease.
Aerophagia was seen likely as a function of dyspnea and/or stress.
There was mild generalized hepatomegaly which is common in patients with chronic hypoxia. A diffuse infiltrative parenchymal disease cannot be ruled out but is lower for potential.
There was incidental osteoarthrosis of the shoulder joints.

Patient Information

Patient Name : Tinker Taylor, Perry Hall AH
Gender : Female, Spayed
Species : Canine
Type of Imaging : Ultrasound
Status : Complete

Clinical Signs

  • Coughing

Exam Finding

  • Heart Murmur
  • Masses
  • Obesity
  • Panting

Images

tinker_lattineker_lat_2tinker_vd

Clinical Signs

  • Coughing
Skip to content