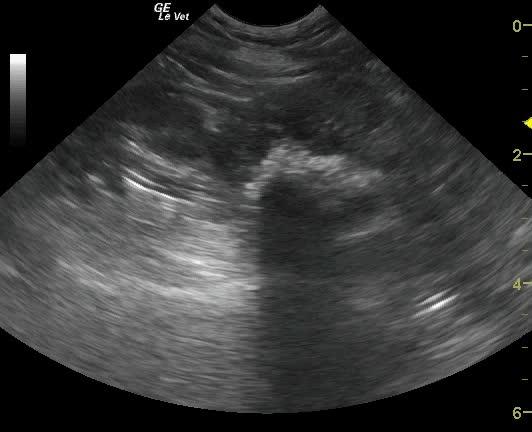
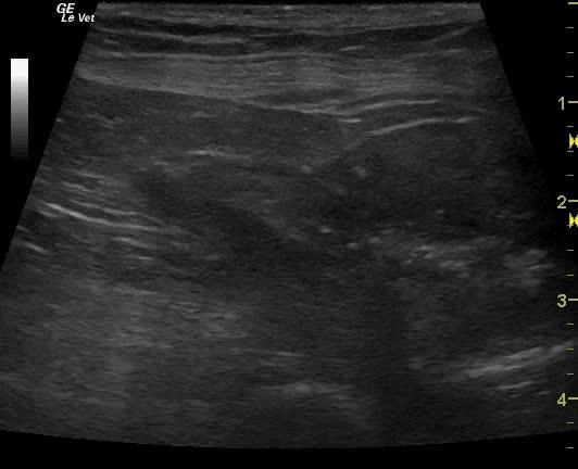
A 15-year-old NM West Highland White terrier dog was presented for evaluation of polydipsia, polyuria and possible bladder stones noted on radiographs. Abnormalities on CBC and serum biochemistry were thrombocytosis, neutrophilia, and hyperalbuminemia. Urinalysis was not performed owing to financial constraints however an abdominal ultrasound prescription was approved.
A 15-year-old NM West Highland White terrier dog was presented for evaluation of polydipsia, polyuria and possible bladder stones noted on radiographs. Abnormalities on CBC and serum biochemistry were thrombocytosis, neutrophilia, and hyperalbuminemia. Urinalysis was not performed owing to financial constraints however an abdominal ultrasound prescription was approved.


