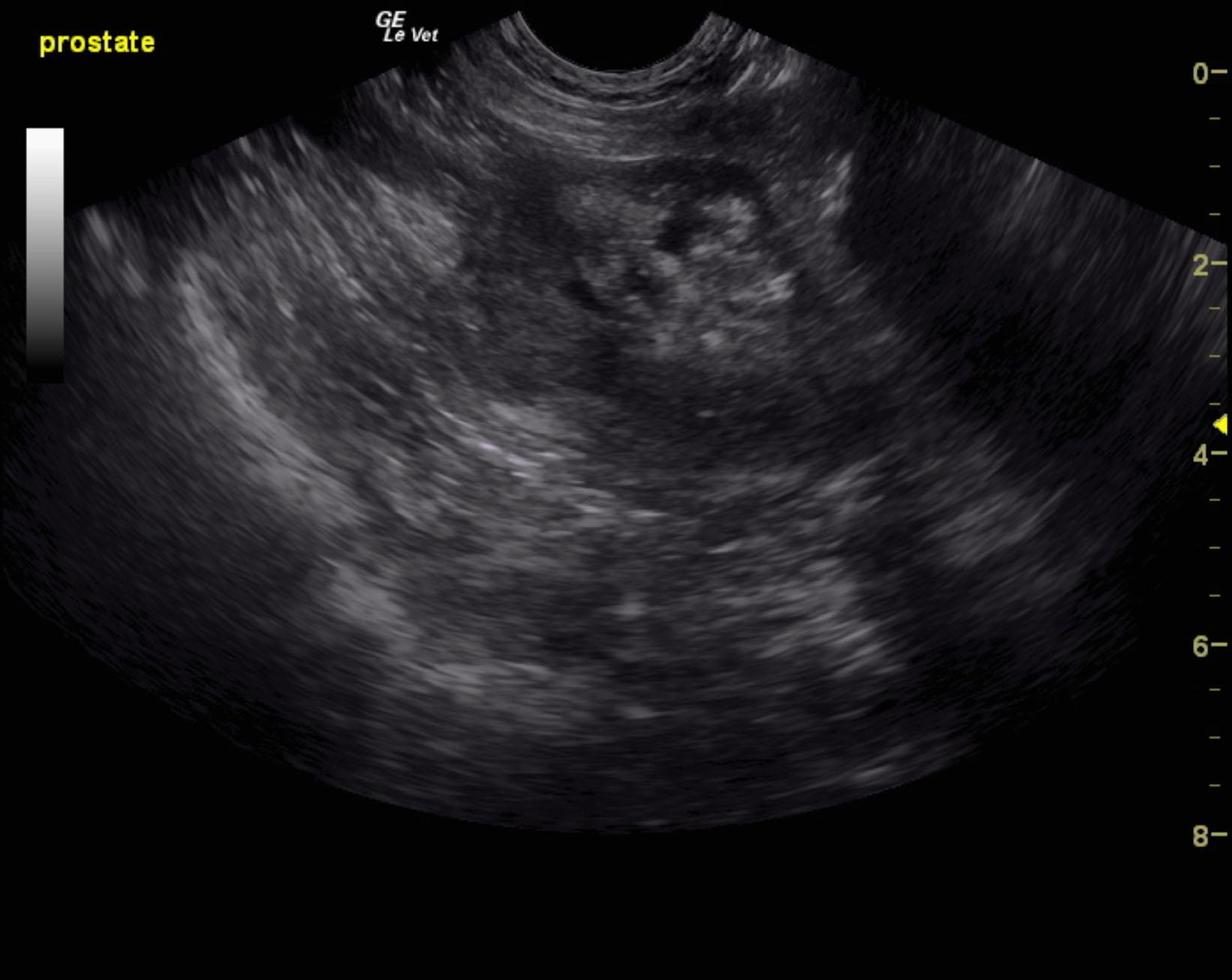
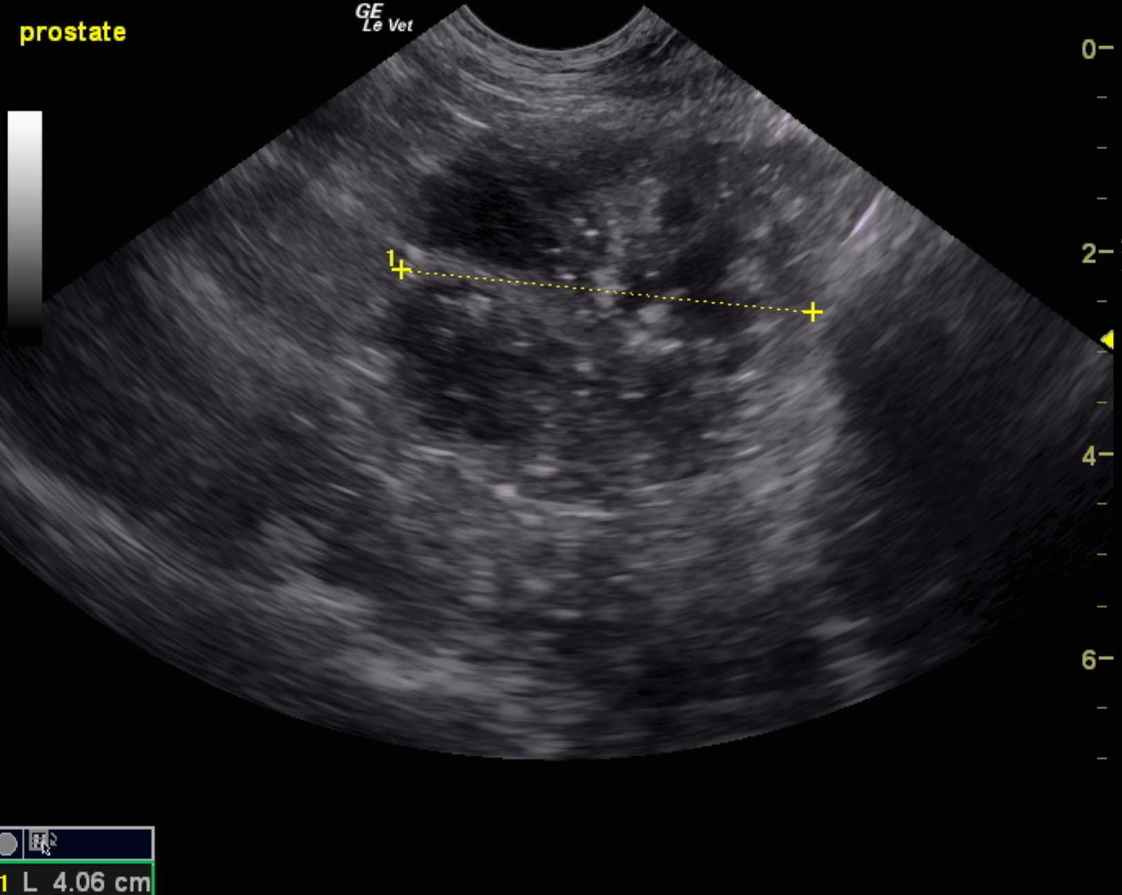
An 8-year-old neutered male mixed breed dog with a history of pollakiuria, stranguria, and weight loss. The dog was presented for evaluation of tenesmus, diarrhea, and hematuria. Physical examination and rectal palpation were within normal limits.
An 8-year-old neutered male mixed breed dog with a history of pollakiuria, stranguria, and weight loss. The dog was presented for evaluation of tenesmus, diarrhea, and hematuria. Physical examination and rectal palpation were within normal limits.

