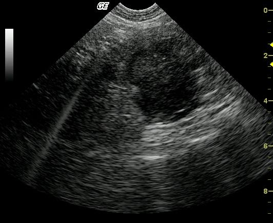
This 16-year-old FS DSH was presented for chronic vomiting, lethargy, anorexia, PU/PD, and weight loss. The clinical exam revealed moderate dehydration and mild hyperthermia. The CBC and blood chemistry analysis was normal except for a minor SAP elevation.
This 16-year-old FS DSH was presented for chronic vomiting, lethargy, anorexia, PU/PD, and weight loss. The clinical exam revealed moderate dehydration and mild hyperthermia. The CBC and blood chemistry analysis was normal except for a minor SAP elevation.

