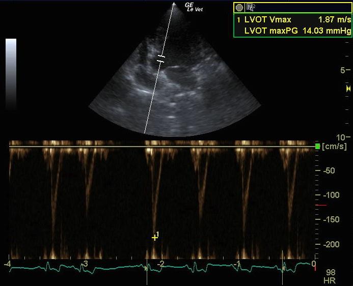
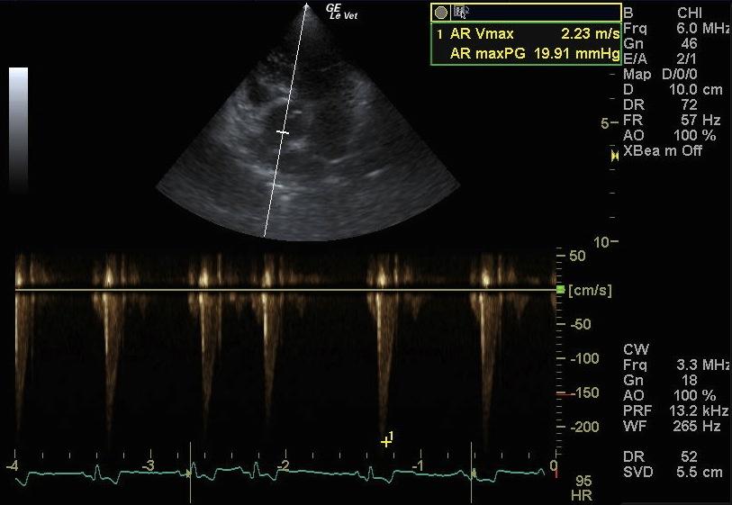
A 9-year-old FS mixed breed dog presented for evaluation of episodic coughing that appeared to be somewhat antibiotic responsive. Survey radiographs showed a normal cardiac silhouette, mild interstitial lung pattern, and an irregular shadow superimposing on the craniobasal cardiac silhouette and adherent to the left thoracic wall from the second to the forth rib. The radiographic changes had been present for almost 2 years.
A 9-year-old FS mixed breed dog presented for evaluation of episodic coughing that appeared to be somewhat antibiotic responsive. Survey radiographs showed a normal cardiac silhouette, mild interstitial lung pattern, and an irregular shadow superimposing on the craniobasal cardiac silhouette and adherent to the left thoracic wall from the second to the forth rib. The radiographic changes had been present for almost 2 years.



