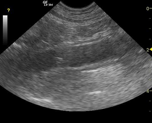
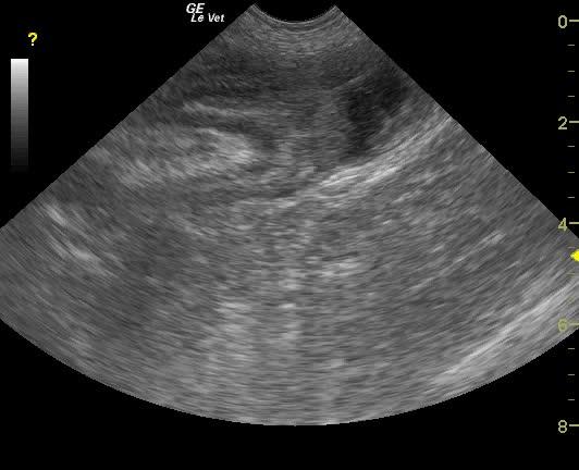
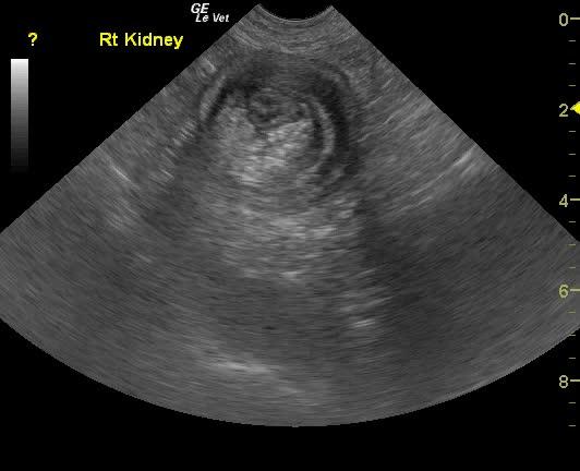
A 10 year-old MN Shepherd mixed dog presented with a 2-3 month history of intermittent vomiting and a more recent anorexia. Abnormalities on physical examination were dehydration and a 3 cm firm left anal sac mass. The only significant finding on CBC and serum biochemistry was hypoalbuminemia. Survey radiographs showed no evidence of pulmonary metastases but revealed excessive pyloric gas pattern with a volume contracted heart.
A 10 year-old MN Shepherd mixed dog presented with a 2-3 month history of intermittent vomiting and a more recent anorexia. Abnormalities on physical examination were dehydration and a 3 cm firm left anal sac mass. The only significant finding on CBC and serum biochemistry was hypoalbuminemia. Survey radiographs showed no evidence of pulmonary metastases but revealed excessive pyloric gas pattern with a volume contracted heart.




