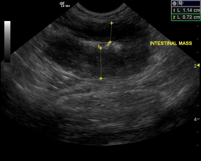
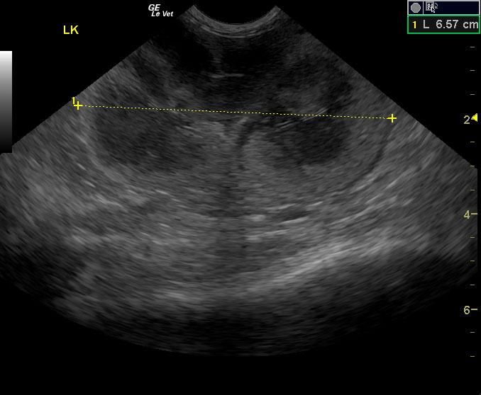
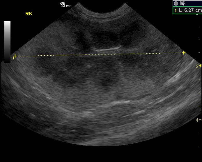
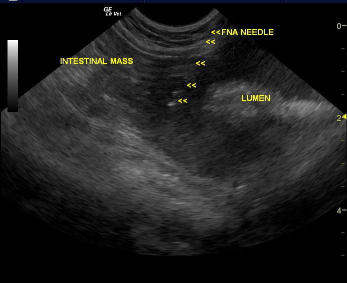
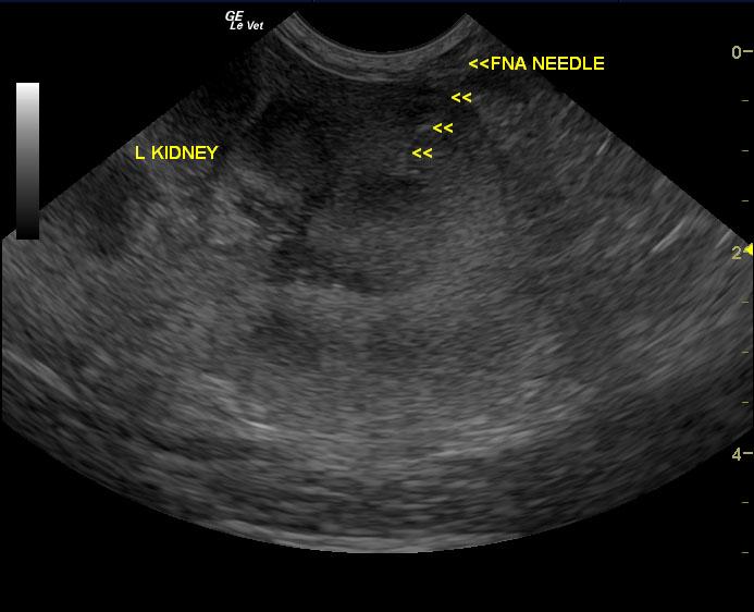
A seven-year-old MN DSH cat was presented with lethargy with the owner reporting that the cat’s behavior and temperament had changed. On urinalysis the urine was straw in color and clear; USPG was inappropriate (1.021), hematuria was present. The urine protein/creatinine ratio was 1.1. Abnormalities on CBC and serum chemistry were anemia, neutrophilia, lymphopenia, monocytosis, hypoproteinemia, and azotemia. Abdominal radiographs revealed an left nephromegaly and a mass effect in the gastrointestinal tract.
A seven-year-old MN DSH cat was presented with lethargy with the owner reporting that the cat’s behavior and temperament had changed. On urinalysis the urine was straw in color and clear; USPG was inappropriate (1.021), hematuria was present. The urine protein/creatinine ratio was 1.1. Abnormalities on CBC and serum chemistry were anemia, neutrophilia, lymphopenia, monocytosis, hypoproteinemia, and azotemia. Abdominal radiographs revealed an left nephromegaly and a mass effect in the gastrointestinal tract.




