Granular Lymphoma in a 9 year old DSH cat

Case Study

Granular Lymphoma in a 9 year old DSH cat

This 9-year-old DSH cat presented for vomiting, weight loss, lethargy and anorexia. Physical examination revealed intestinal thickening, moderate hyperthermia and a poor body state. The blood analysis demonstrated mild anemia, moderate leukocytosis with a left shift and band cells. Mild hypoalbuminemia and moderately low T4 was also evident.

This 9-year-old DSH cat presented for vomiting, weight loss, lethargy and anorexia. Physical examination revealed intestinal thickening, moderate hyperthermia and a poor body state. The blood analysis demonstrated mild anemia, moderate leukocytosis with a left shift and band cells. Mild hypoalbuminemia and moderately low T4 was also evident.

Sonographic Differential Diagnosis

Neoplasia such as lymphosarcoma or similar round cell tumor. Focal, severe inflammatory or granulomatous disease are considered unlikely.

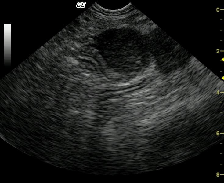
Image Interpretation

A hypoechoic, essentially bi-lobed small bowel wall mass is asymmetrically arising from a segment of distal small bowel. The serosal borders are undulating, however, the serosal layer appears to be intact.

DX

Granular lymphoma

Outcome

The patient was humanely euthanized due to financial constraints.

Clinical Differential Diagnosis

GI pathology – IBD, neoplasia, infectious, lymphangiectasia, foreign body; pancreatic pathology -pancreatitis.

Sampling

A 22 ga US-guided FNA revealed granular lymphoma.

Patient Information

Patient Name : Kid C
Species : Feline
Type of Imaging : Ultrasound
Status : Complete
Liz Wuz Here : Yes
Code : 04_00062

Clinical Signs

  • Anorexia
  • Lethargy
  • Vomiting
  • Weight loss

Exam Finding

  • Fever
  • Thickened Intestines
  • Weight loss

Images

Bolbedmasswithundulatingserosasmallbowelmass

Blood Chemistry

  • Albumin, Low
  • Hypothyroidism

CBC

  • Bands
  • Left Shift
  • RBC, Low
  • WBC, High

Clinical Signs

  • Anorexia
  • Lethargy
  • Vomiting
  • Weight loss