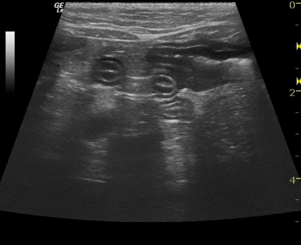
A 16-year-old MN DSH cat was presented for weight loss, decreased appetite, decreased drinking, and constipation. Physical exam was unremarkable other than poor body condition and palpably thickened intestines. CBC revealed neutrophilia. Blood chemistry showed hyperamylasemia and the T4 was within normal limits. Urinalysis showed a cloudy, amber appearance, hematuria, and a large number of RBCs. Urine microalbumin was within normal limits and the urine culture did not yield any growth.
A 16-year-old MN DSH cat was presented for weight loss, decreased appetite, decreased drinking, and constipation. Physical exam was unremarkable other than poor body condition and palpably thickened intestines. CBC revealed neutrophilia. Blood chemistry showed hyperamylasemia and the T4 was within normal limits. Urinalysis showed a cloudy, amber appearance, hematuria, and a large number of RBCs. Urine microalbumin was within normal limits and the urine culture did not yield any growth.

