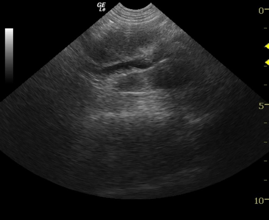
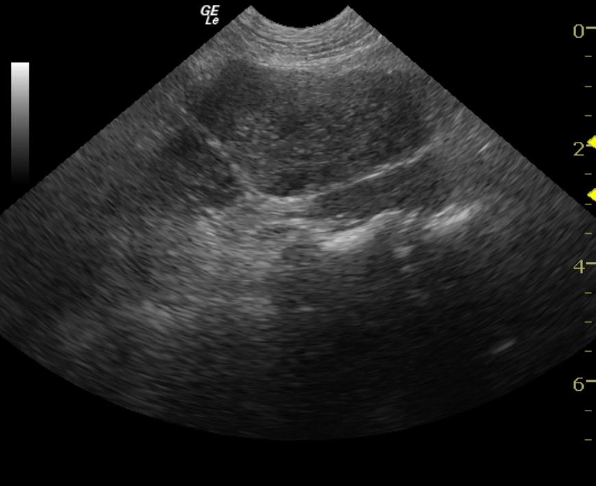
An 11-year-old FS Jack Russell Terrier dog with history of MCT – grade II on the foot in 1999 and grade I on the skin in 2004, was presented for pruritus near the base of tail. The only significant finding on physical examination was a 1.5 cm ulcerated mass in the right ventral anal mucosa. Eosinopenia and elevated MCV and MCHC were evident on CBC. The mass was surgical excised and the patient treated with antibiotics. Biopsy results showed a grade II MCT. The patient was presented three months later for recurrence of the anal mass. Abdominal ultrasound was advised prior to further surgery.
An 11-year-old FS Jack Russell Terrier dog with history of MCT – grade II on the foot in 1999 and grade I on the skin in 2004, was presented for pruritus near the base of tail. The only significant finding on physical examination was a 1.5 cm ulcerated mass in the right ventral anal mucosa. Eosinopenia and elevated MCV and MCHC were evident on CBC. The mass was surgical excised and the patient treated with antibiotics. Biopsy results showed a grade II MCT. The patient was presented three months later for recurrence of the anal mass. Abdominal ultrasound was advised prior to further surgery.

