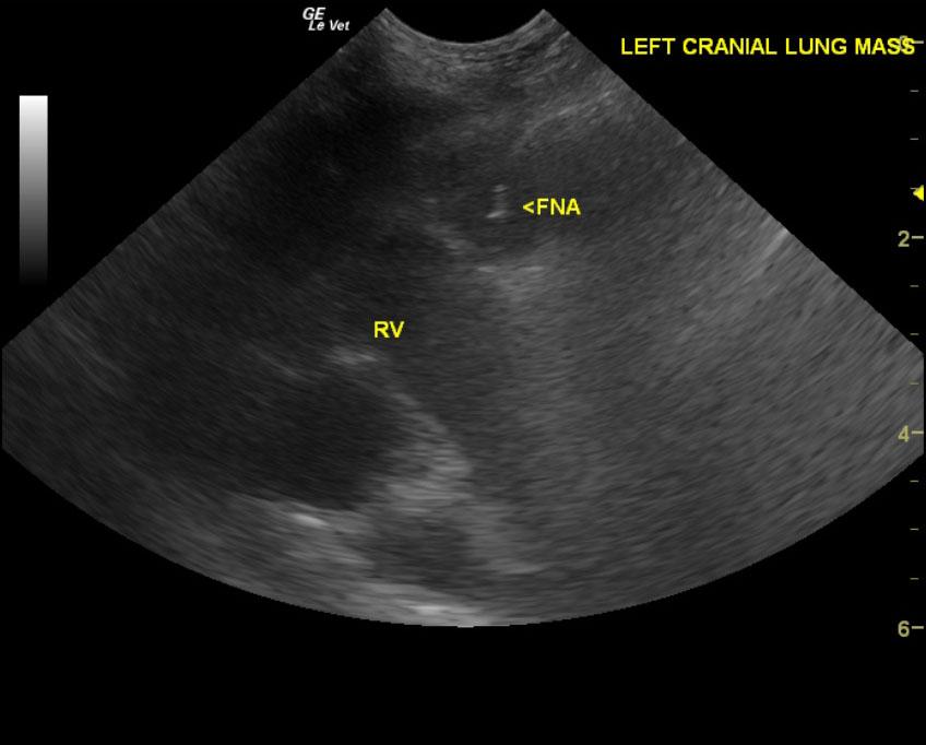
A 12-year-old FS Kerry Blue Terrier dog was presented for evaluation of poor appetite and not being himself. He also had a history of periodic lethargy.
A 12-year-old FS Kerry Blue Terrier dog was presented for evaluation of poor appetite and not being himself. He also had a history of periodic lethargy.


