Left adrenal mass in a 9 year old MN German Shepherd Dog

Case Study

Left adrenal mass in a 9 year old MN German Shepherd Dog

A 9 year old MN German Shepherd Dog was presented for evaluation of hyposthenia, elevated ALP activity, and a positive low dose dexamethasone suppression test.

A 9 year old MN German Shepherd Dog was presented for evaluation of hyposthenia, elevated ALP activity, and a positive low dose dexamethasone suppression test.

Sonographic Differential Diagnosis

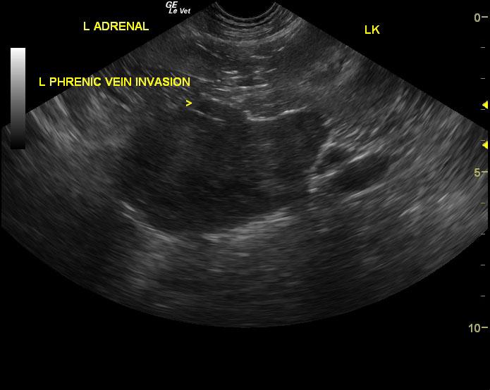
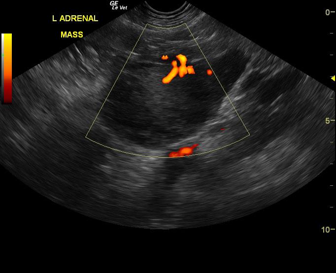
Left adrenal gland mass invading the left phrenic vein. This mass appears to be resectable and is most consistent with adrenal gland carcinoma. Surgical consultation is recommended as well as three view chest radiographs and blood pressure measurements.

Image Interpretation

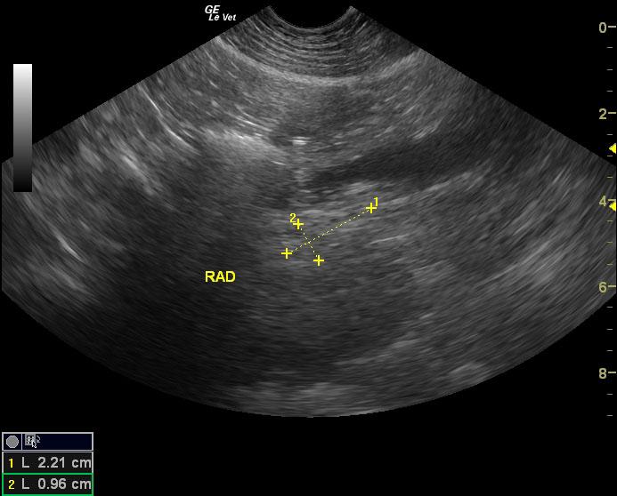
The right adrenal gland was isoechoic to surrounding fat. It measured 2.1 x 0.9 cm. The left adrenal gland comprised a 7.9 x 5.3 cm strongly vascular mass noted on power flow Doppler. Invasion into the left phrenicoabdominal vein was noted. However, the vena cava was not invaded at this time.

DX

Adrenal mass

Outcome

No further outcome at this time.

Comments

Blood pressure measurement was 160.

Clinical Differential Diagnosis

Pituitary dependent Cushing’s disease, adrenal gland tumor (functional adenoma, adenocarcinoma).

Sampling

None.

Patient Information

Patient Name : Cosmo M
Gender : Male, Neutered
Species : Canine
Type of Imaging : Ultrasound
Status : Complete
Liz Wuz Here : Yes
Code : 07_00109

Clinical Signs

  • Weakness

Images

2012120613193701201212061319370320121206131937122012120613193711

Blood Chemistry

  • Alkaline Phosphatase (SAP), High

Clinical Signs

  • Weakness

Special Testing

  • LDDST Positive for Cushing's
Skip to content