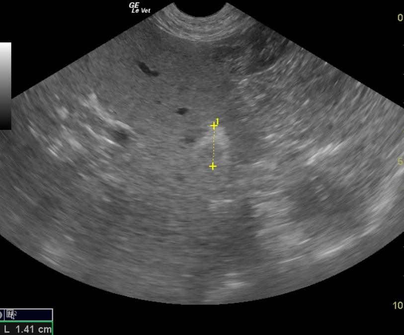
A 10 year old SF Labrador was presented with a history of not doing right and having an ACTH stimulation test at the low end of normal. Additional history was that she would vomit when taken off a chicken/rice diet. Current therapy was Pepcid. Abnormalities on urinalysis were inappropriate SG, proteinuria, pyuria, and the presence of cocci and triple phosphate crystals Abnormalities on serum biochemistry were hyperkalemia and elevated ALP activity. T4 was low. Survey radiographs were within normal limits. The patient was treated with Cerenia following another bout of vomiting.
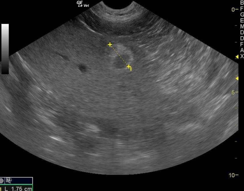
A 10 year old SF Labrador was presented with a history of not doing right and having an ACTH stimulation test at the low end of normal. Additional history was that she would vomit when taken off a chicken/rice diet. Current therapy was Pepcid. Abnormalities on urinalysis were inappropriate SG, proteinuria, pyuria, and the presence of cocci and triple phosphate crystals Abnormalities on serum biochemistry were hyperkalemia and elevated ALP activity. T4 was low. Survey radiographs were within normal limits. The patient was treated with Cerenia following another bout of vomiting.

