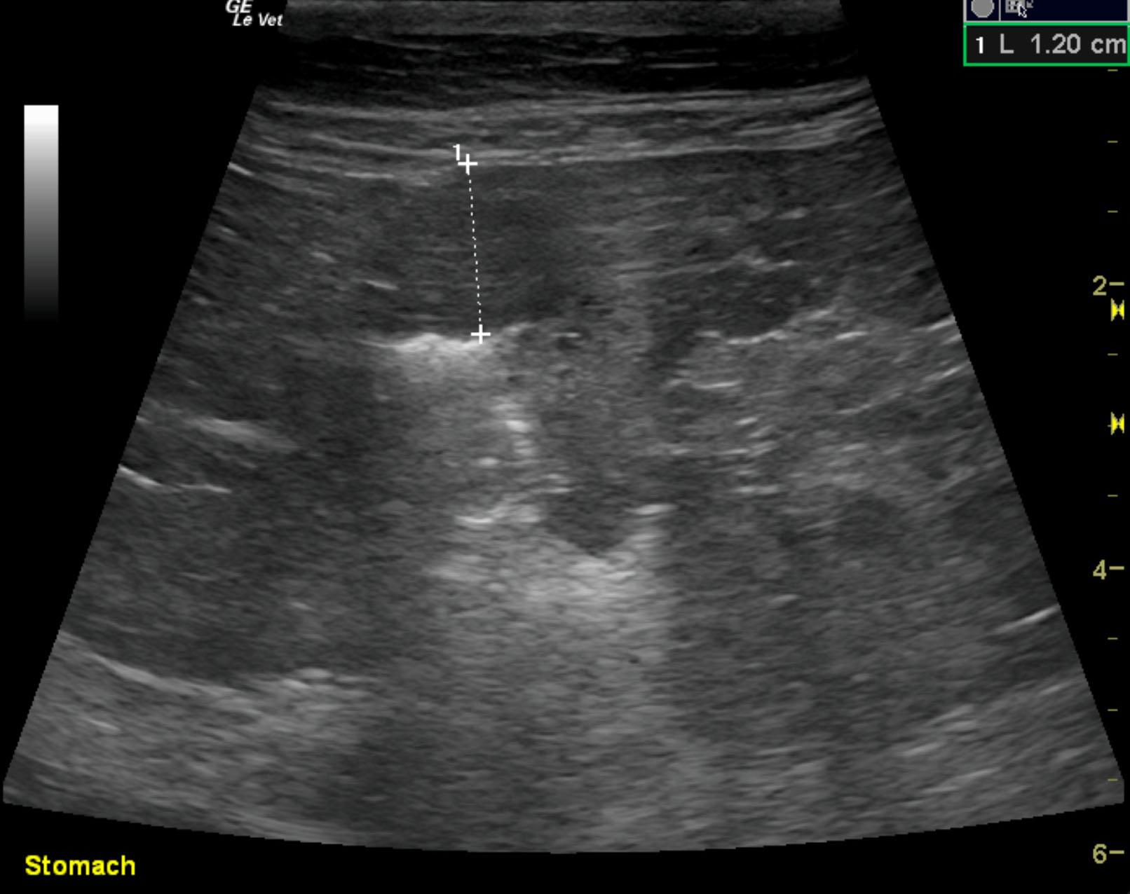
The patient is a feline DSH, NM, 14 years. The patient was hospitalized last week for pancreatitis, but specfPL remains elevated and has increased. The patient is now anemic and albumin is 2.2.
The patient is a feline DSH, NM, 14 years. The patient was hospitalized last week for pancreatitis, but specfPL remains elevated and has increased. The patient is now anemic and albumin is 2.2.


