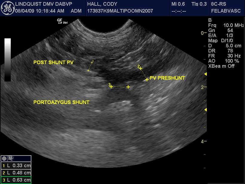
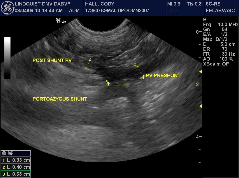
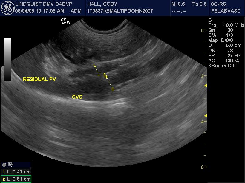
A 2-year-old MN Malti-poo was presented for recheck examination after being evaluated at an emergency facility for anorexia, diarrhea, and a pruritic face. Abnormalities on blood work at the emergency facility were elevated ALT activity and bilirubinuria. Physical examination was unremarkable. CBC and blood chemistry showed leukocytosis, neutrophilia, monocytosis, elevated BUN, high BUN/Creatinine ratio, and mild hypocalcemia. Urinalysis was normal. Urine culture yielded no growth.
A 2-year-old MN Malti-poo was presented for recheck examination after being evaluated at an emergency facility for anorexia, diarrhea, and a pruritic face. Abnormalities on blood work at the emergency facility were elevated ALT activity and bilirubinuria. Physical examination was unremarkable. CBC and blood chemistry showed leukocytosis, neutrophilia, monocytosis, elevated BUN, high BUN/Creatinine ratio, and mild hypocalcemia. Urinalysis was normal. Urine culture yielded no growth.



