Trichobezoar in a 16-year-old MN DSH cat

Case Study

Trichobezoar in a 16-year-old MN DSH cat

A 16-year-old MN DSH cat was presented for evaluation of weight loss and anorexia. Grade II-III/VI heart murmur, systemic hypertension, and tachycardia were present on physical examination. Urinalysis showed an SG of 1.022 and mild hematuria. Abnormalities on CBC and serum biochemistry were leukocytosis, monocytosis, thrombocytopenia, and elevated urea. T4 was within normal range.

A 16-year-old MN DSH cat was presented for evaluation of weight loss and anorexia. Grade II-III/VI heart murmur, systemic hypertension, and tachycardia were present on physical examination. Urinalysis showed an SG of 1.022 and mild hematuria. Abnormalities on CBC and serum biochemistry were leukocytosis, monocytosis, thrombocytopenia, and elevated urea. T4 was within normal range.

Sonographic Differential Diagnosis

Hairball; underlying IBD

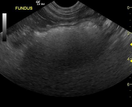
Image Interpretation

The gastrointestinal tract in this patient presented a 6+ cm hair accumulation in the fundus. The pylorus was free of evident pathology. The remainder of the intestinal tract was structurally unremarkable.

DX

Trichobezoar

Outcome

The patient was treated with lactulose and Baytril, which resulted in an improvement. Eight months later the patient was presented for wheezing. Further weight loss, ongoing azotemia, leukocytosis, and hematuria was evident. Urine SG was 1.017. Antibiotics and prescription renal diet was started.

Clinical Differential Diagnosis

Renal pathology – chronic kidney disease, neoplasia, pyelonephritis, hypertensive nephropathy; Pancreatic pathology – chronic pancreatitis, neoplasia; Cardiac pathology- dilated/hypertrophic cardiomyopathy, hypertrophy secondary to systemic hypertension; Chronic abscessation/granulomatous disease

Sampling

None

UA Specific Gravity Range

1.022

Patient Information

Patient Name : Elliot G
Gender : Male, Neutered
Species : Feline
Type of Imaging : Ultrasound
Status : Complete
Liz Wuz Here : Yes
Code : 04_00298

Clinical Signs

  • Anorexia
  • Weight loss

Exam Finding

  • Heart Murmur
  • Hypertension
  • Tachycardia

Images

vlcsnap-2013-02-03-12h32m07s156vlcsnap-2013-02-03-12h31m35s59

Blood Chemistry

  • BUN high

CBC

  • Monocytes, High
  • Platelet Count, Low
  • WBC, High

Clinical Signs

  • Anorexia
  • Weight loss

Urinalysi

  • Blood Present