Splenic mass in a 12 year old FS Sheltie dog

Case Study

Splenic mass in a 12 year old FS Sheltie dog

A 12-year-old spayed female Sheltie dog with a history of poor appetite over a few weeks was presented for evaluation of anorexia, lethargy, and diarrhea. Abnormalities on physical examination included dehydration, slight polypnea, and possible ascites with a non-tender abdomen. Abnormalities on CBC and serum biochemistry included leukocytosis, azotemia, and hyperkalemia. 

A 12-year-old spayed female Sheltie dog with a history of poor appetite over a few weeks was presented for evaluation of anorexia, lethargy, and diarrhea. Abnormalities on physical examination included dehydration, slight polypnea, and possible ascites with a non-tender abdomen. Abnormalities on CBC and serum biochemistry included leukocytosis, azotemia, and hyperkalemia. 

Sonographic Differential Diagnosis

Splenic mass. Free fluid and omental nodular changes. Given that the patient is not overtly anemic, the abdominal fluid is likely paraneoplastic in nature. There was no obvious organ metastasis noted. However, some omental nodular changes could be consistent with seeding.

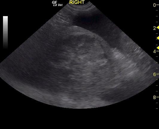
Image Interpretation

The spleen contained a mixed, echogenic complex mass that measured 10+ cm. The mass was deriving from the caudal splenic body. A large amount of free fluid was noted in the abdomen. Omental nodular changes were noted.

DX

Splenic mass

Outcome

None

Comments

Chest radiographs and rapid echocardiogram are recommended to ensure that pericardial effusion is not noted prior to surgery. 

Clinical Differential Diagnosis

Peritonitis, hemabdomen (splenic/hepatic neoplasia), uro-abdomen, neoplasia, chronic liver disease

Sampling

None. Abdominocentesis is recommended as well as exploratory surgery.

Patient Information

Patient Name : Maggie K
Gender : Female, Spayed
Species : Canine
Type of Imaging : Ultrasound
Status : Complete
Liz Wuz Here : Yes
Code : 08_00131

Clinical Signs

  • Anorexia
  • Diarrhea
  • Lethargy

Exam Finding

  • Ascites
  • Dehydration
  • Tachypnea

Images

_20150322115925img_0095img_0101img_0105

Blood Chemistry

  • Azotemia
  • Potassium, High

CBC

  • WBC, High

Clinical Signs

  • Anorexia
  • Diarrhea
  • Lethargy