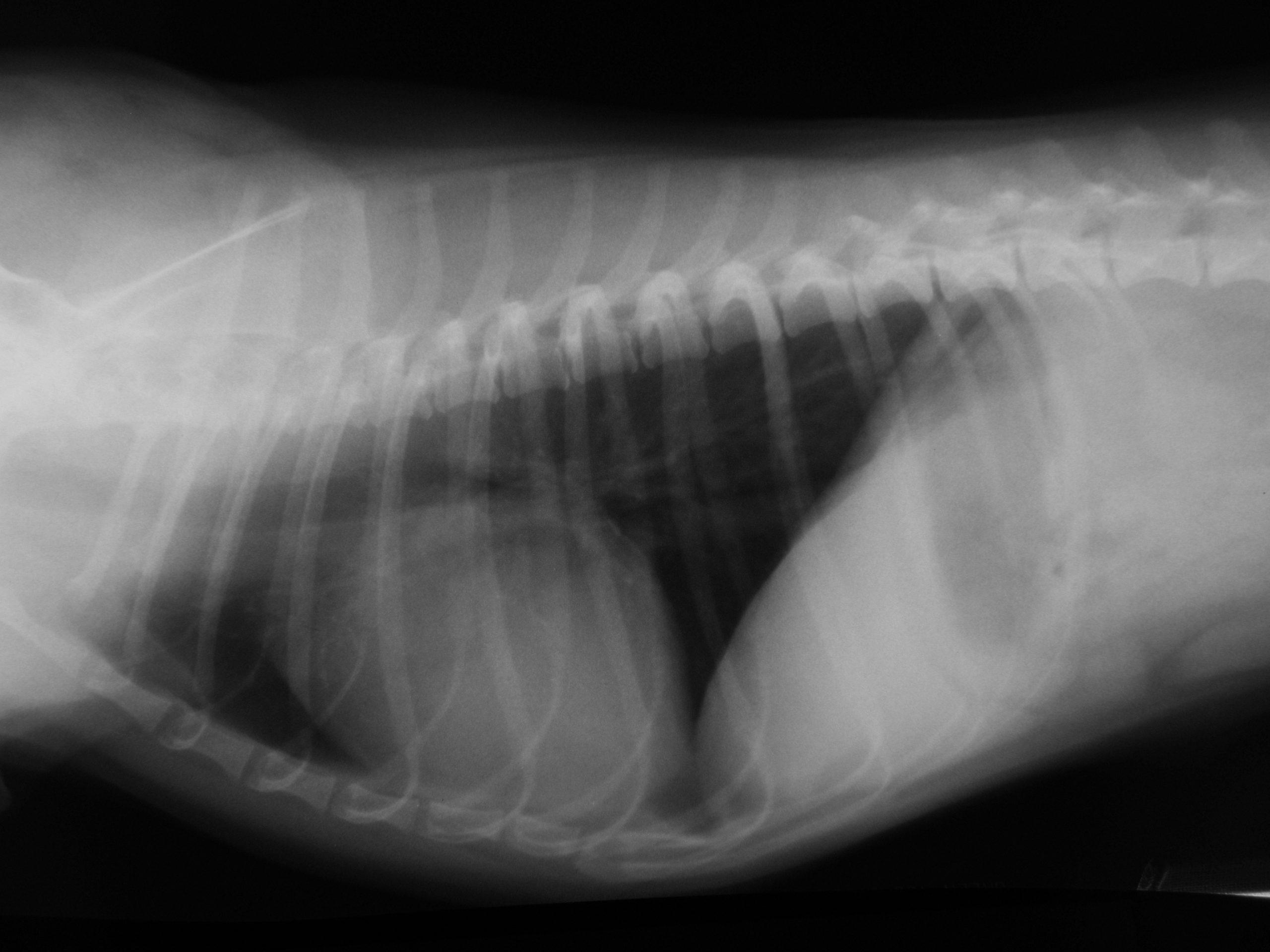
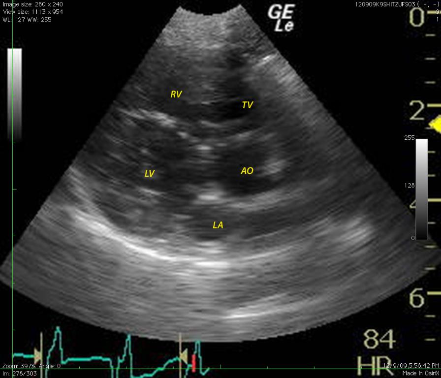
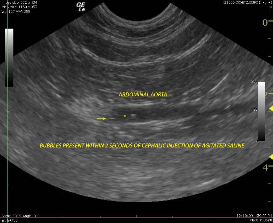
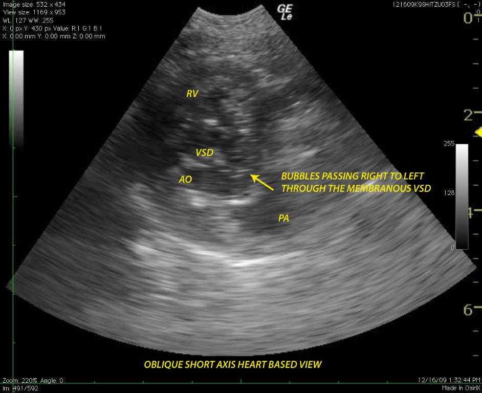
A 6-year-old FS Shih Tzu presented for exercise intolerance and cyanosis under stress. The clinical exam was otherwise unremarkable. A slight right and left sided murmur was auscultated. Right sided cardiomegaly was noted on radiographs. Radiographs (Image 1): generalized right sided cardiomegaly is noted. There is no evidence of pulmonary congestion. The lung pattern is unremarkable.
A 6-year-old FS Shih Tzu presented for exercise intolerance and cyanosis under stress. The clinical exam was otherwise unremarkable. A slight right and left sided murmur was auscultated. Right sided cardiomegaly was noted on radiographs. Radiographs (Image 1): generalized right sided cardiomegaly is noted. There is no evidence of pulmonary congestion. The lung pattern is unremarkable.




