Right Adrenal Mass in a 12-Year-Old, MN, DSH Cat

Case Study

Right Adrenal Mass in a 12-Year-Old, MN, DSH Cat

Chronic intermittent diarrhea and chronic upper respiratory infection. BCS 3.5/9. Palpable slowly growing mass effect on left side caudal abdomen, freely moveable, not easily seen on abdominal radiographs. Currently on Azithromycin 50 mg PO Q 72 hours.

Image Interpretation

The spleen was mildly enlarged with uniform but subtly micronodular parenchyma, and undulating capsular contour. This is consistent with reactive spleen owning to immune stimulus or early infiltrative disease such as mast cell or lymphoma. The spleen measured 1.28 cm.

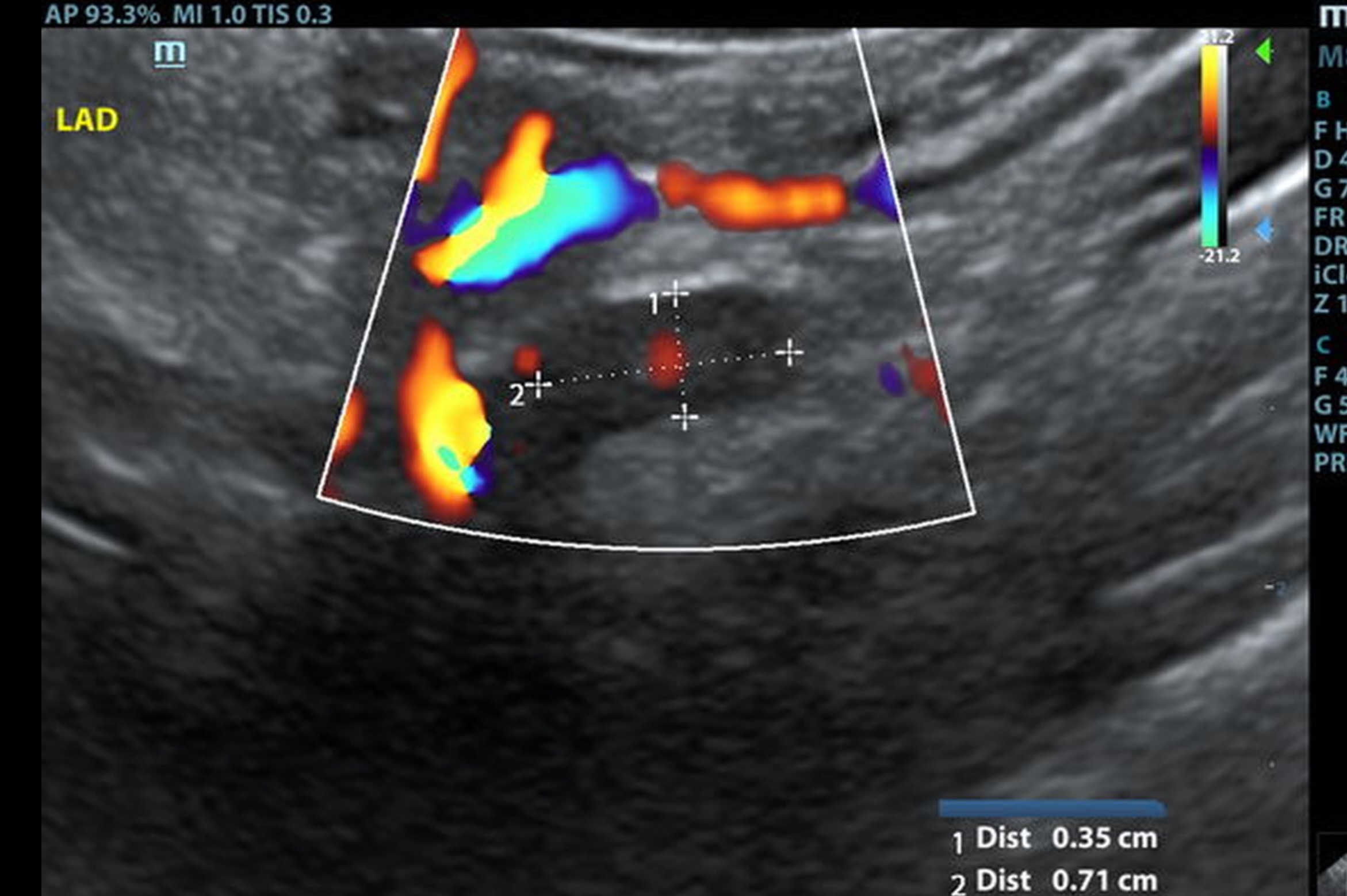
The left adrenal gland was visualized and recognized as normal for this breed. The left adrenal gland measured 0.7 c 0.35 cm. The region of the right adrenal gland revealed a mineralizing mass that impinged upon the vena cava and appeared to be occupying the phrenic vein; it measured 2.2 x 1.2 cm. This appears to be isolated. Normal right adrenal gland was not found.

Comments

Given the sodium potassium ratio is normal, it is unlikely that this is an aldosterone producing tumor.  However, carcinoma and pheochromocytoma are possible. Serial blood pressure measurements are warranted. Surgical consultation is recommended. Screening 25g FNA of the spleen can be considered if weight loss has occurred to ensure that it is a reactive spleen given its minor enlargement; however this could also be justified by sedation as the changes are relatively subtle. CT evaluation for surgical planning would be ideal.

Sampling

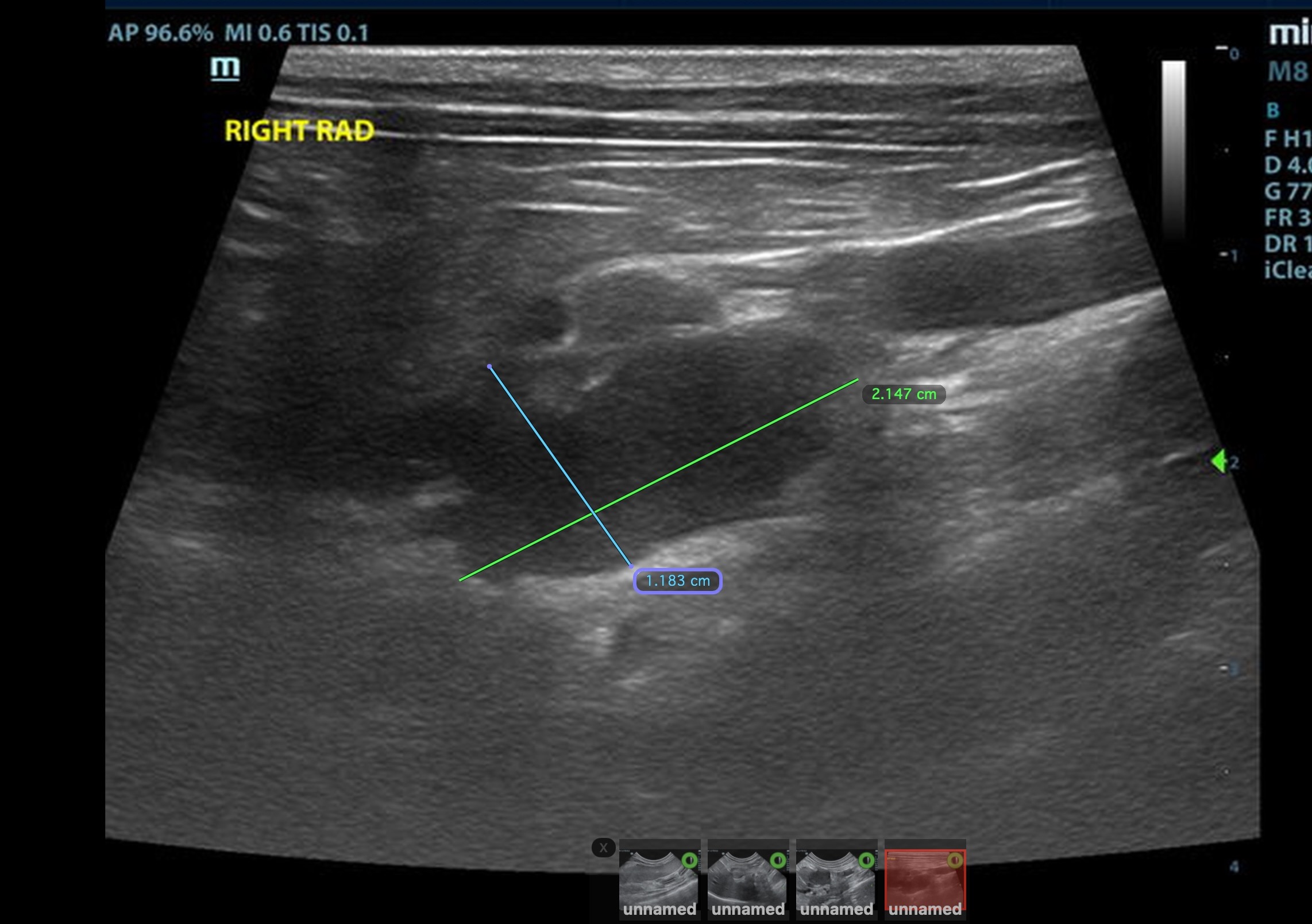
right kidney to right likely right adrenal mass

Right kidney to likely right adrenal mass. Note the norma left adrenal at the end of the video loop

 

 

Patient Information

Gender : Male, Neutered
Species : Feline
Type of Imaging : Ultrasound

Clinical Signs

  • Diarrhea
  • Upper respiratory infection
  • Weight loss

Exam Finding

  • Palpable mass

Images

Clinical Signs

  • Diarrhea
  • Upper respiratory infection
  • Weight loss