RADS: Neoplastic Interstitial Lung Nodule in a 12 year old FS Golden Retriever dog

Case Study

RADS: Neoplastic Interstitial Lung Nodule in a 12 year old FS Golden Retriever dog

This 12 year old FS golden retriever presented for 2 acute, deep coughing episodes of one hour duration. No cyanosis at home.

Physical Exam: BCS 6/9. BAR, mucous membranes pink/moist. Panting heavily. 

R/O cardiac vs respiratory

This 12 year old FS golden retriever presented for 2 acute, deep coughing episodes of one hour duration. No cyanosis at home.

Physical Exam: BCS 6/9. BAR, mucous membranes pink/moist. Panting heavily. 

R/O cardiac vs respiratory

Image Interpretation

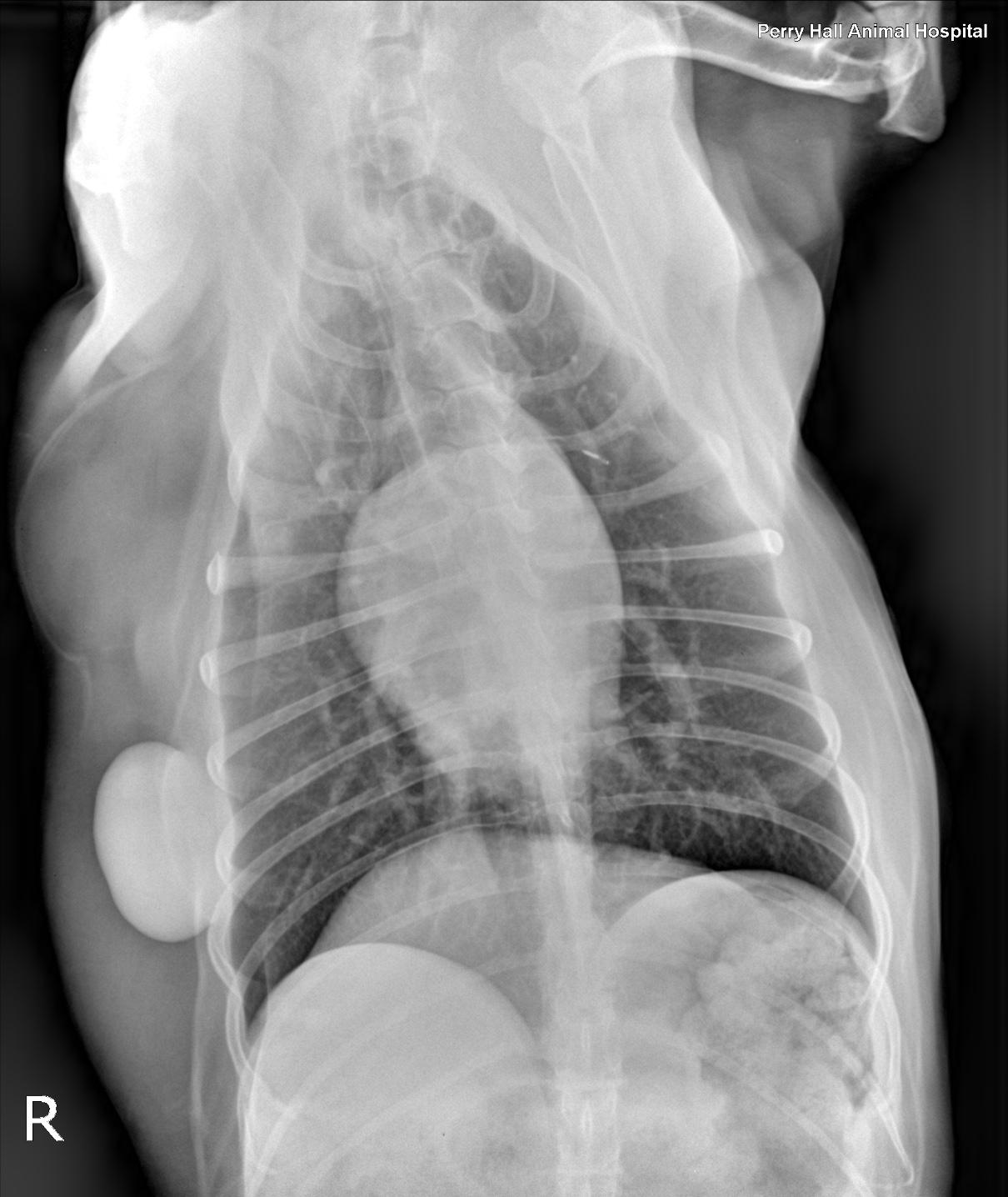
Rads of thorax, right lateral, left lateral and VD: The degree of inspiration was moderate. Osseous structures are within normal limits. Extrathoracic soft tissue structures showed the cervical esophagus was mildly dilated with gas. A subcutaneous, well delineated soft tissue opaque mass lesion measuring 6cm, and a lipoma measuring 10cm were seen along the right lateral chest wall. Intrathoracic structures showed there was an incidental redundant tracheal membrane. The course of the trachea was normal. No mediastinal widening was noted. The cardiac silhouette was small. There was no abnormal prominence of the major vessels. The caudal vena cava was thin. The pulmonary vessels were thin. There was an ovoid, soft tissue, opaque nodule level with the first intercostal space measuring approximately 3cm in diameter. This nodule was visible on both left- and right-lateral views and appeared to be associated with the right cranial lung lobe on the ventro dorsal view. The pulmonary parenchyma showed a mild generalized bronchointerstitial pattern.

DX

The radiographic findings suggest a neoplastic interstitial nodule within the right cranial lung lobe. The location of the nodule is not typical for a primary neoplasia of the lung. Therefore next to a primary neoplasia metastase(s) of another primary tumor have to be considered. There is a lipoma and a subcutaneous soft tissue neoplasia on the right chest wall. The mild bronchointerstitial pattern likely is an age related finding. The potential for current bronchitis is low. The radiographs further show microcardia and under-perfusion of the lung, both of which indicate hypovolemia. There is no radiographic evidence for cardiac disease.

Outcome

Sampling of the soft tissue neoplasia on the chest wall and abdominal ultrasound are recommended to rule out a primary neoplasia within the abdomen. Depending on the results, lobectomy may be considered as a therapeutic option. Prior to this, a CT of the thorax is strongly recommended to verify the location of the nodule and rule out further nodular changes in the remainder of the lung.

Patient Information

Patient Name : Goldie Jones - Perry Hall Animal Hospital
Gender : Female, Spayed
Species : Canine
Type of Imaging : Ultrasound
Status : Complete

Clinical Signs

  • Coughing
  • Dyspnea

Exam Finding

  • Coughing
  • Panting

Images

goldie_chest_mass_latgoldie_chest_mass_lat_2goldie_chest_mass_vd

Clinical Signs

  • Coughing
  • Dyspnea
Skip to content