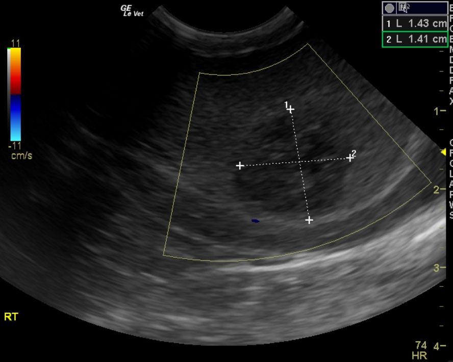
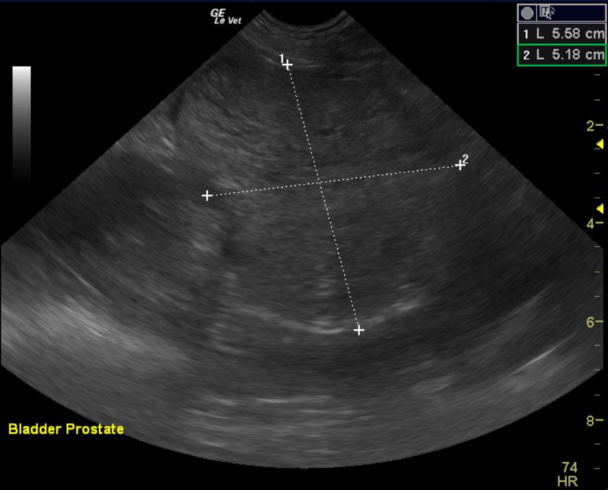
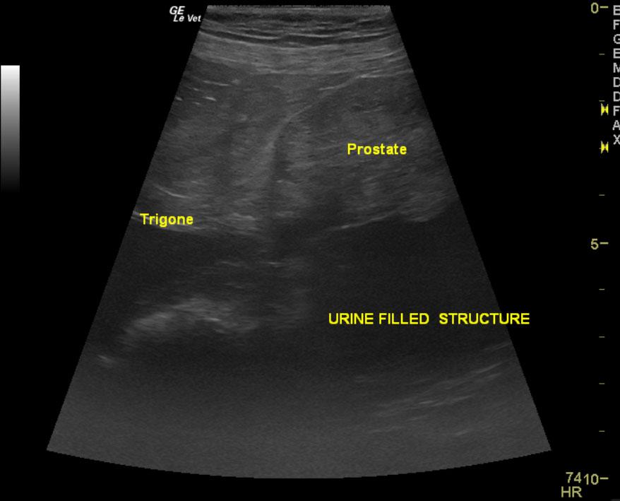
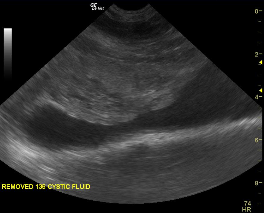
A ten year old intact male labrador retriever was presented with an enlarged prostate and painful rear end. Serum biochemistry and CBC were within normal limits. The urine specific gravity was 1.022 with mild pyuria.
A ten year old intact male labrador retriever was presented with an enlarged prostate and painful rear end. Serum biochemistry and CBC were within normal limits. The urine specific gravity was 1.022 with mild pyuria.




