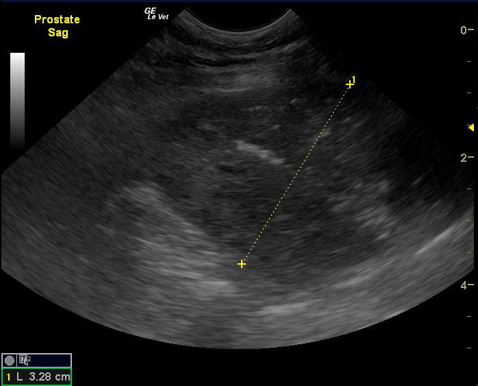
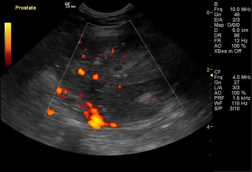
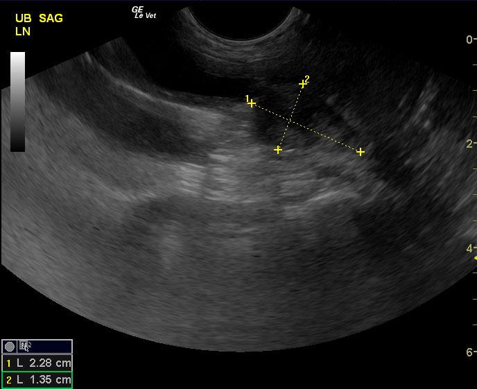
A 9-year-old NM canine mix was presented for evaluation of hematuria and urinating in the house that has not responded to a course of Baytril. Red and white blood cells were evident on urinalysis.
A 9-year-old NM canine mix was presented for evaluation of hematuria and urinating in the house that has not responded to a course of Baytril. Red and white blood cells were evident on urinalysis.


