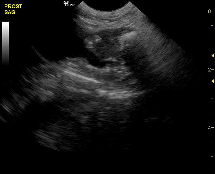
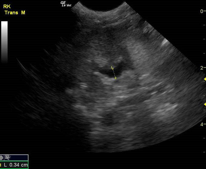
A 14-year-old neutered male Pomeranian dog was presented for evaluation of pollakiuria, diarrhea, inappetence, and lethargy. Abnormalities on physical examination included a painful, enlarged and symmetrical prostate, a very large and firm urinary bladder that could be expressed, and a grade III/VI heart murmur. On survey thoracic radiographs, calcification of the prostate gland was evident.
A 14-year-old neutered male Pomeranian dog was presented for evaluation of pollakiuria, diarrhea, inappetence, and lethargy. Abnormalities on physical examination included a painful, enlarged and symmetrical prostate, a very large and firm urinary bladder that could be expressed, and a grade III/VI heart murmur. On survey thoracic radiographs, calcification of the prostate gland was evident.







