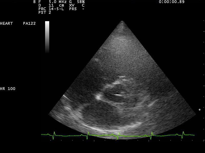
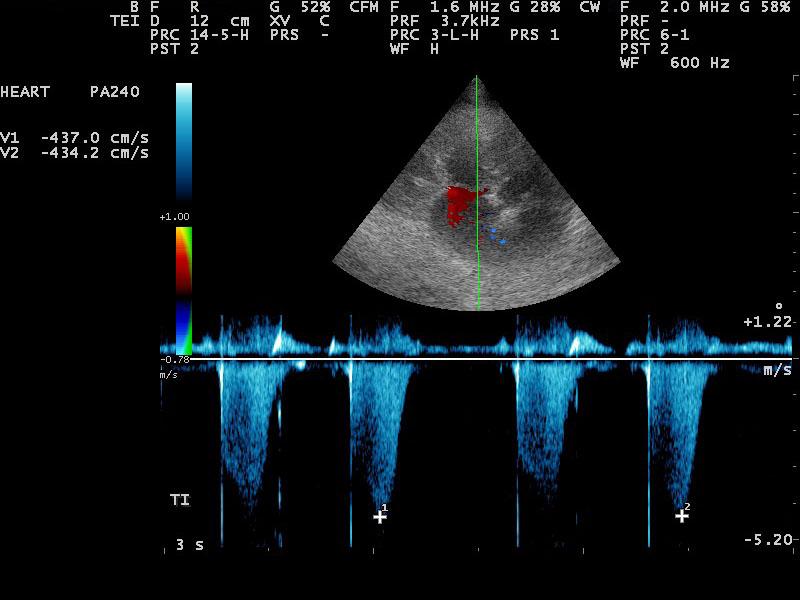
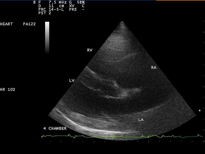
A 10-year-old SF Labrador was presented for evaluation of ascites, which was quantified as a modified transudate. Additional history on this dog was that 11 months prior an ovariohysterectomy and resection of mammary gland tumors had been done. The tumors were benign on histopathology. On abdominal ultrasound, the ascites, hepatic congestion, and a dilated CVC were present.
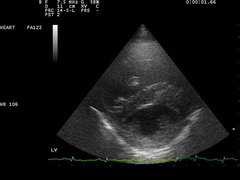
A 10-year-old SF Labrador was presented for evaluation of ascites, which was quantified as a modified transudate. Additional history on this dog was that 11 months prior an ovariohysterectomy and resection of mammary gland tumors had been done. The tumors were benign on histopathology. On abdominal ultrasound, the ascites, hepatic congestion, and a dilated CVC were present.






