Pancreatic carcinoma in a 9 year old MN DSH cat

Case Study

Pancreatic carcinoma in a 9 year old MN DSH cat

A 9-year-old MN DSH was presented for evaluation of ascites. On physical examination a distended abdomen and weight loss was evident. Fluid analysis revealed a moderate neutrophilic exudate – suspected bacterial sepsis. CBC showed neutrophilia, monocytosis, and mild anemia whereas serum chemistry was within normal limits.

A 9-year-old MN DSH was presented for evaluation of ascites. On physical examination a distended abdomen and weight loss was evident. Fluid analysis revealed a moderate neutrophilic exudate – suspected bacterial sepsis. CBC showed neutrophilia, monocytosis, and mild anemia whereas serum chemistry was within normal limits.

Sonographic Differential Diagnosis

Bi-cavitary effusion. Nodular pancreatic and hepatic changes. This is highly suggestive for dual cavity neoplasia such as carcinomatosis or possible feline infectious peritonitis. An abdominocentesis with cytospin and immediate slide preparation would be recommended for a definitive diagnosis. Alternatively, fine-needle aspirates of the pancreas and liver nodules would be warranted. Very poor long term prognosis.

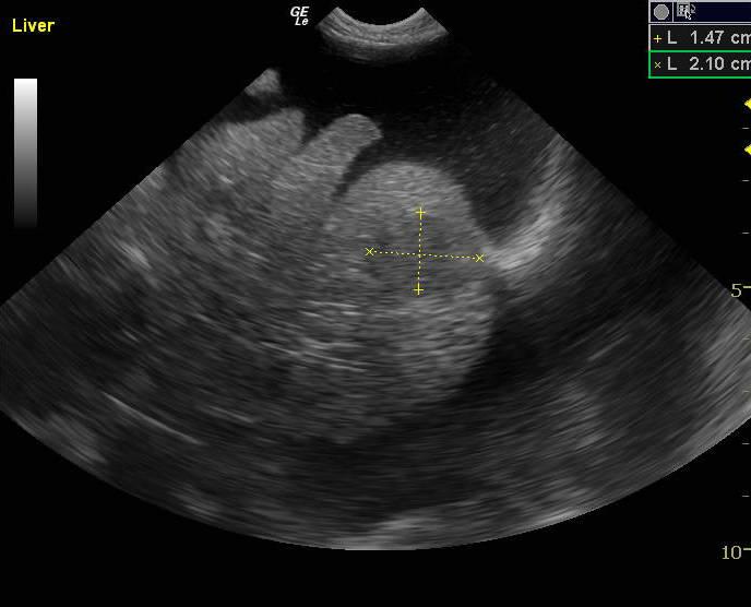
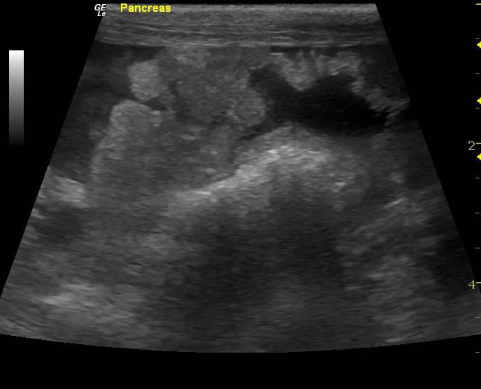
Image Interpretation

The abdomen in this patient presented moderate amount of echogenic free fluid. Multiple heterogenous nodular changes were noted which were hypoechoic and hyperechoic throughout the liver. This is suggestive for metastatic event. Some internal structure deviation was noted. The deep right liver revealed a collapsed gallbladder with surrounding parenchymal nodular changes with impingement upon the gallbladder. The vena cava was normal. The hepatic veins were subnormal in size. This is indicative of an increased possibility of feline infectious peritonitis. The pancreatic region revealed multiple nodular hypoechoic changes with irregular surrounding omentum.

DX

Pancreas: carcinoma. Liver: carcinoma (suspected metastatic).

Outcome

The patient was humanely euthanized.

Clinical Differential Diagnosis

Bacterial peritonitis. Feline infectious peritonitis. Neoplasia- intra-abdominal, liver, spleen, kidney, pancreas, mesenteric lymph node. Chemical – urine, bile.

Sampling

FNA of liver revealed carcinoma (suspected metastatic). FNA of pancreas: carcinoma. Comments: Given the appearance of the slides as well as the sonographic description, the pancreas is likely the site of primary neoplasia, with metastases to the liver. The neoplastic cells appear epithelial but do not contain zymogen granules typical of normal pancreatic cells. This could be because the cells are sufficiently anaplastic as to have lost this feature, but other sources should be considered as well.

Patient Information

Patient Name : Shades A
Gender : Male, Neutered
Species : Feline
Type of Imaging : Ultrasound
Book : yes
Status : Complete
Liz Wuz Here : Yes
Code : 05_00077

Clinical Signs

  • Ascites

Exam Finding

  • Abdominal Distension
  • Weight loss

Images

AlexanderPancreas_02022011125039MetastaticNodule_07162011103607MetatstaticCarcinoma_07162011103636

CBC

  • Monocytes, High
  • Neutrophils, High
  • RBC, Low

Clinical Signs

  • Ascites
Skip to content