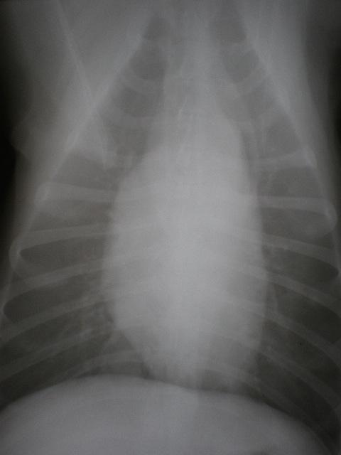
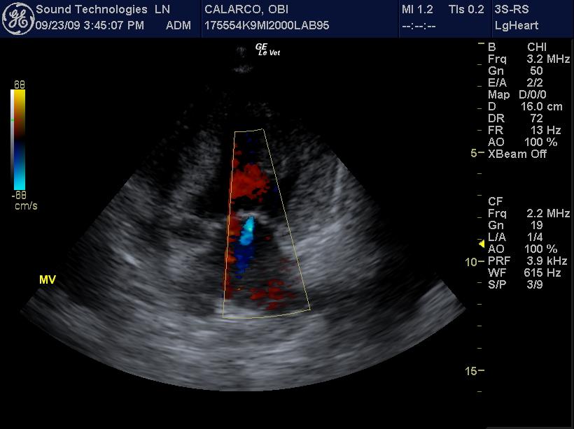
An 11-year-old MN Labrador retriever was prestented for excercise intolerance, lethargy, depression, vomiting and diarrhea. The physical exam was unremarkable other than a grade 2 left sided heart mumur at the heart base and irregular heart beat with pulse deficits. CBC, CHEM, UA, and acth stim were all normal.
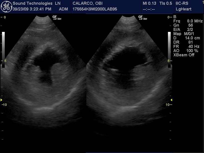
An 11-year-old MN Labrador retriever was prestented for excercise intolerance, lethargy, depression, vomiting and diarrhea. The physical exam was unremarkable other than a grade 2 left sided heart mumur at the heart base and irregular heart beat with pulse deficits. CBC, CHEM, UA, and acth stim were all normal.








