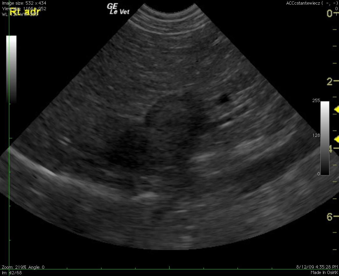
A 13-year-old MN Jack Russell Terrier dog presented for a second opinion with panting, weakness, and anorexia. The physical exam revealed mild gingival pallor and mild tachypnea. Complete blood count revealed strongly regenerative anemia (HCT 22%) with spherocytes, marked polychromasia, anisocytosis, and moderate neutrophilic leukocytosis. Blood chemistry revealed only slight azotemia. In house 4Dx was negative. Blood pressure was 159/98. Urinalysis was pending at the time of the sonogram but urination was reported to be normal.
A 13-year-old MN Jack Russell Terrier dog presented for a second opinion with panting, weakness, and anorexia. The physical exam revealed mild gingival pallor and mild tachypnea. Complete blood count revealed strongly regenerative anemia (HCT 22%) with spherocytes, marked polychromasia, anisocytosis, and moderate neutrophilic leukocytosis. Blood chemistry revealed only slight azotemia. In house 4Dx was negative. Blood pressure was 159/98. Urinalysis was pending at the time of the sonogram but urination was reported to be normal.
