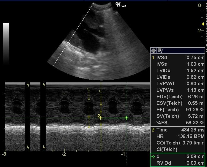
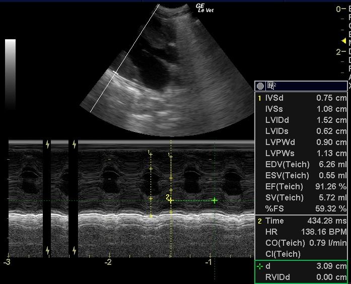
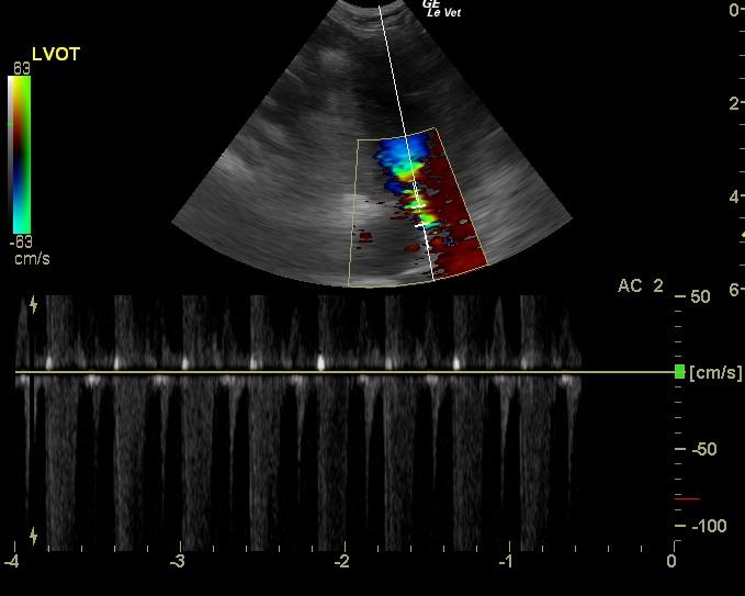
A 1-year-old intact male DSH was presented for anorexia over a 1-2 day period. Abnormalities on physical examination included hypothermia, a grade IV/VI systolic murmur, and ataxia. Leukocytosis was present on CBC. On survey radiographs, the intestines appeared to be bunched.
A 1-year-old intact male DSH was presented for anorexia over a 1-2 day period. Abnormalities on physical examination included hypothermia, a grade IV/VI systolic murmur, and ataxia. Leukocytosis was present on CBC. On survey radiographs, the intestines appeared to be bunched.





