CT – Left adrenal mass with extensive vascular invasion in a 13 year old FS Poodle

Case Study

CT – Left adrenal mass with extensive vascular invasion in a 13 year old FS Poodle

This 13 year old F Poodle dog was diagnosed via ultrasound with a left adrenal mass and possible a right. Presented for weakness and trembling. 

This 13 year old F Poodle dog was diagnosed via ultrasound with a left adrenal mass and possible a right. Presented for weakness and trembling. 

Image Interpretation

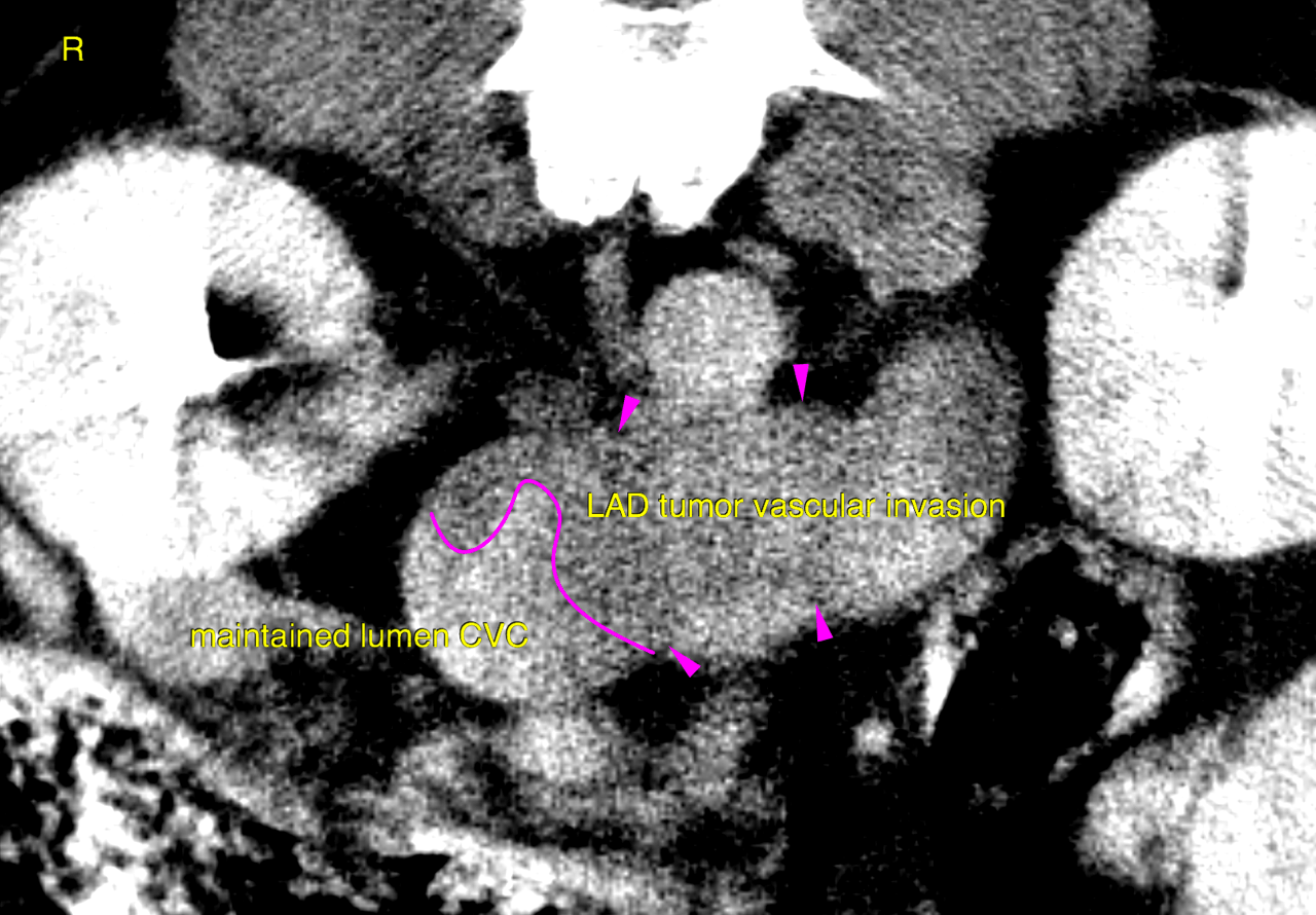
CT of the abdomen – A leftsided polygonal expansile and slightly ill defined adrenal mass of 4 x 3.5 x 4 cm is seen. The mass reveals extensive invasion into the caudal vena cava obstructing 60 % of the vascular diameter and expanding the vascular lumen signifcantly. The intravascular tumor extends at least 7 cm cranial from the right renal vein. Marginal blood flow is maintained. Pooling of contrast caudal to the vascular mass with differential contrast concentration is seen. The mass itself reveals a heterogenous attenuation pattern with non-uniform contrast enhancement. Mild localized retroperitoneal effusion and fat stranding is noted surrounding the mass.
The right adrenal gland assessment is limited by artifacts. However the cranial and caudal pole diameter is less than 0.55 cm. The regular organ architecture is maintained.

DX

¥ Leftsided adrenal mass with extensive vasular invasion meeting malignancy criteria ¥ Mild paraneoplastic retroperitoneal effusion ¥ Normal right adrenal gland Reactive mesenteric lymph node hyperplasia. The changes do not meet malignancy criteria at this point.

Outcome

Differentials for the adrenal neoplasia include functional or non-functional adrenocortical adenocarcinoma as well as pheochromocytoma.
Laboratory work up as well as serial blood pressure measurements are warranted for further definition. Consider 3 view chest radiographs and cursory US evaluation of the heart for full tumor staging.
The prognosis for surgical resection is guarded. This would require venous reconstruction techniques. Medical treatment options may be discussed with the owner based on the results of the aforementioned examinations

Patient Information

Patient Name : Maggie Ostling/CVC
Gender : Female, Spayed
Species : Canine
Type of Imaging : Ultrasound
Status : Complete
Liz Wuz Here : Yes
Code : 16_00024

Clinical Signs

  • Weakness

Exam Finding

  • Masses

Images

bildschirmfoto_2016-05-24_um_18bildschirmfoto_2016-05-24_um_18bildschirmfoto_2016-05-24_um_18

Clinical Signs

  • Weakness
Skip to content