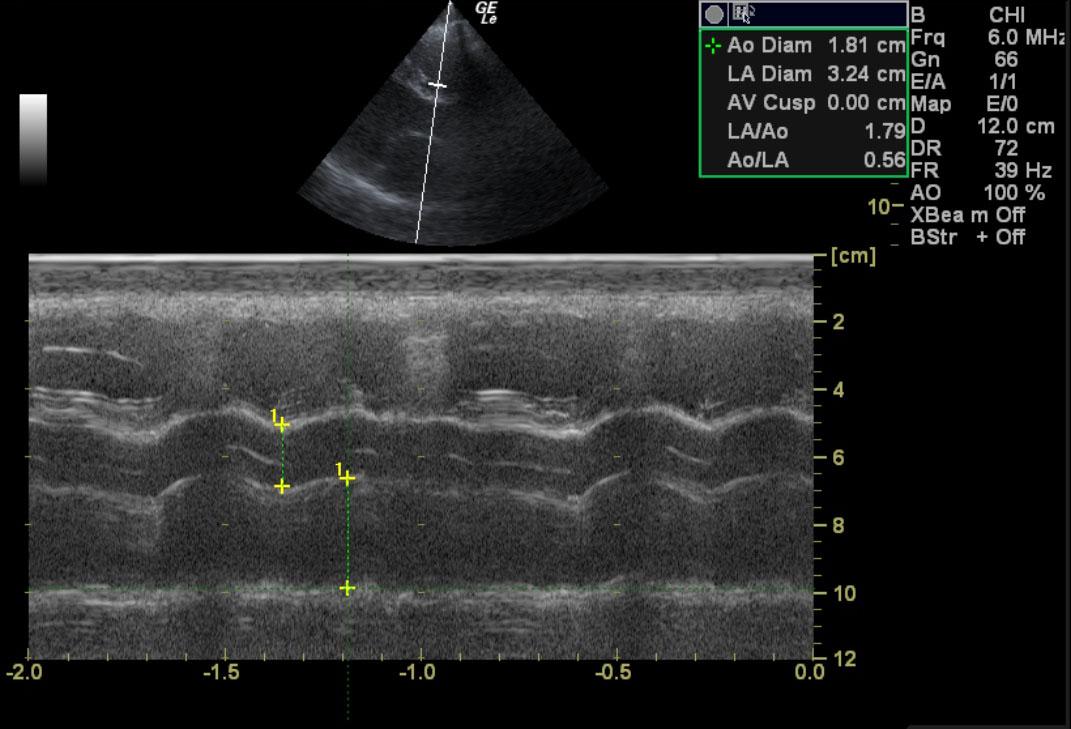
A 6-year-old NM Boxer dog was presented for lethargy, cough, tachypnea, exercise intollerance. Physical exam revelaed a 2/6 left sided heart murmur and mild tachypnea and arrhythmia. The only abnormality on laboratory work was elevated amylase and creatinine.
A 6-year-old NM Boxer dog was presented for lethargy, cough, tachypnea, exercise intollerance. Physical exam revelaed a 2/6 left sided heart murmur and mild tachypnea and arrhythmia. The only abnormality on laboratory work was elevated amylase and creatinine.

