09-00163 Henri F Pyometra in neutered male hermaphrodite

Case Study

09-00163 Henri F Pyometra in neutered male hermaphrodite

 An 11-year-old NM Poodle was presented for evaluation of back pain and dark urine. Urinalysis and blood work were both unremarkable.

 

Sonographic Differential Diagnosis

Tubular structure in the pelvis region.
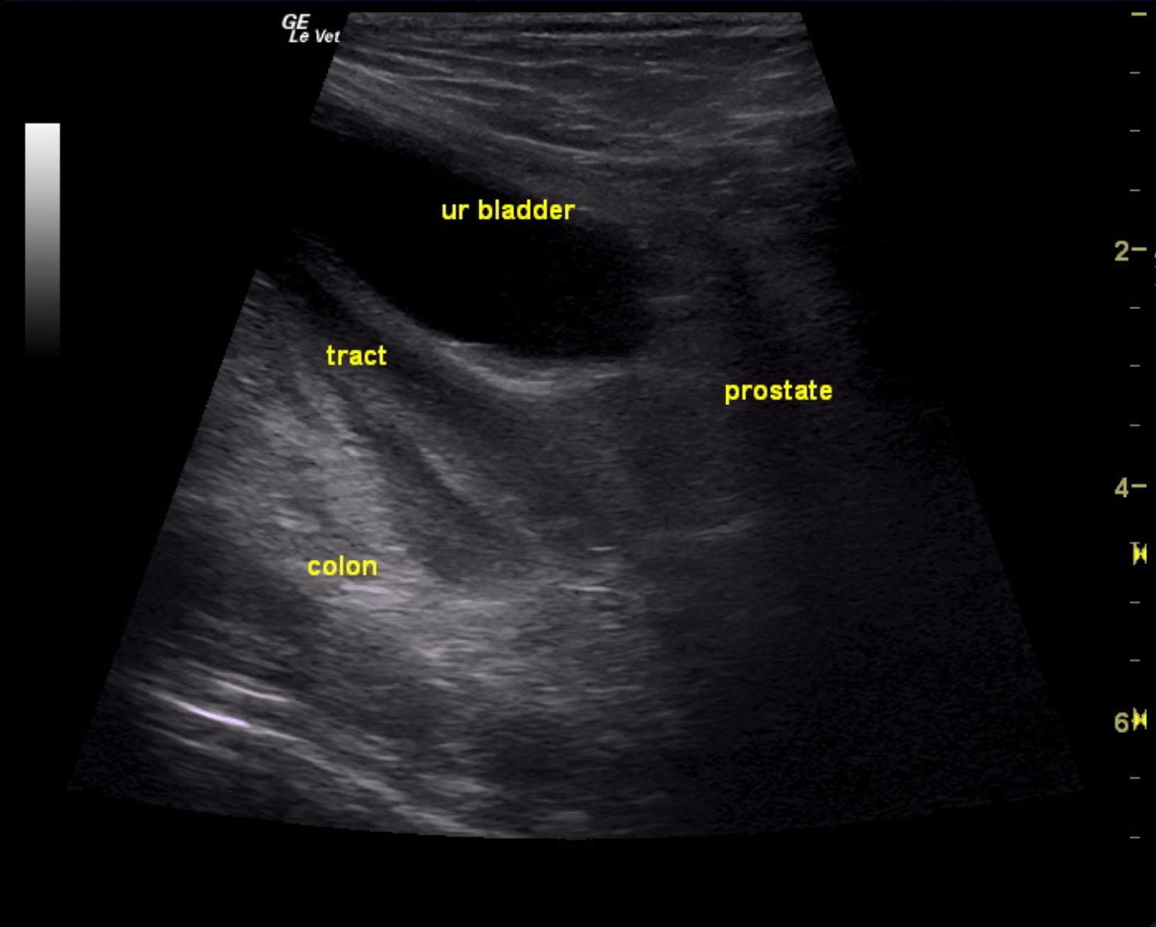
Purulent material was obtained on ultrasound-guided centesis without complications. However, reactive mesentery was noted throughout the pelvis. The position of this tube would fit with a uterus. This patient may be a hermaphrodite with secondary pyometra. I cannot make a direct connection from the tubular structure to the prostate itself as they appear to be separate. I recommend exploratory surgery with removal of this structure. The ureters do not appear to be involved. The position and structure would be that of a uterus. Therefore, treatment for pancreatitis and localized infection in the region of the pelvis would be recommended with IV fluid support, broad spectrum antibiotics such as Enrofloxacin and Clindamycin combination as well as exploratory surgery. If the tubular structure is confirmed to be a uterus and hermaphroditism then examination for possible ovaries would also be warranted even though none were visible in the image set. Regardless, this tubular structure necessitates surgical resection.

Image Interpretation

The urinary bladder itself presented minor thickening and minor debris. A tubular structure was noted in a position between the colon and the urinary bladder with dilation.

DX

Pyometra in neutered male hermaphrodite

Outcome

Exploratory surgery confirmed pyometra in a neutered male.

Clinical Differential Diagnosis

Lumbar spine – disc disease, neoplasia, trauma, myositis
Prostate – prostatitis, neoplasia, abscessation

Sampling

Purulent material was obtained on ultrasound-guided centesis without complications.

Patient Information

Gender : Male, Neutered
Species : Canine
Type of Imaging : Ultrasound
Status : Complete

Clinical Signs

  • Pain

Images

herm1henri4henri5henri7henri2henri3img_3388img_3488img_3489

Clinical Signs

  • Pain

Urinalysi

  • Color Abnormal
Skip to content