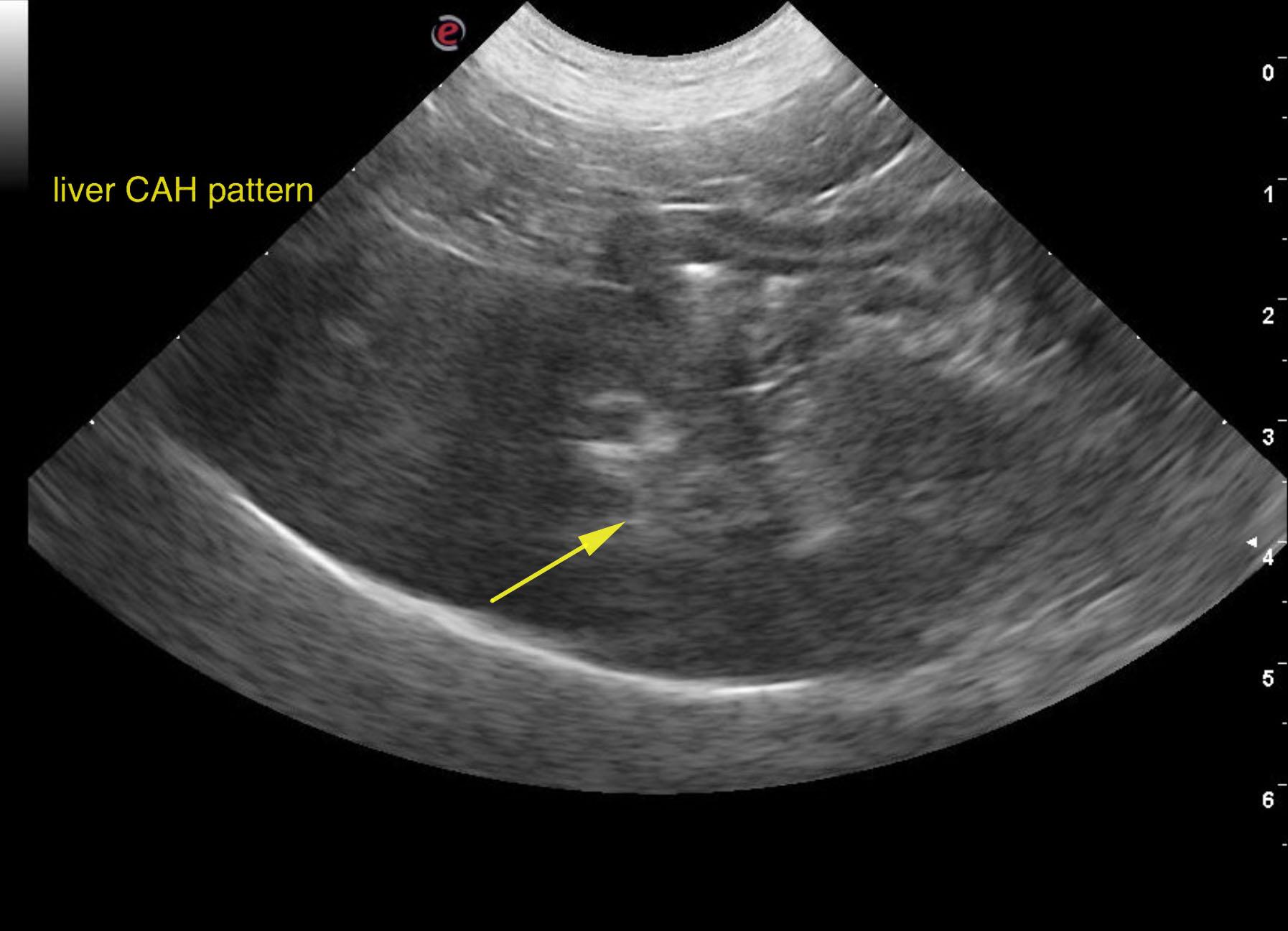
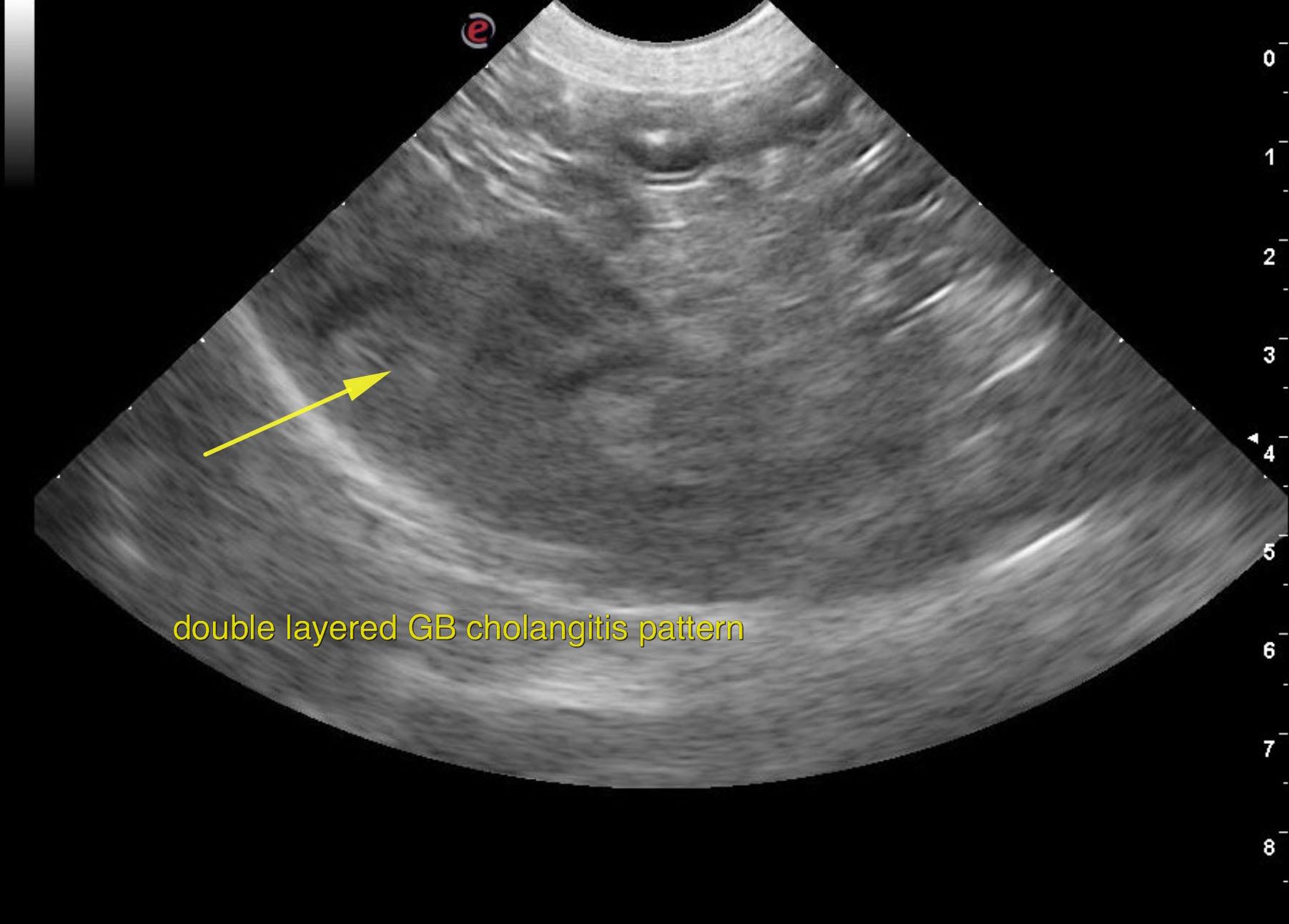
A 7-year-old female Beagle with a history of reduced appetite for a few days was presented for evaluation vomiting and hemorrhagic diarrhea. On physical examination, icterus was present. Urinalysis showed specific gravity of 1.004, bilirubinuria, and hematuria. Abnormalities on serum biochemistry were severely elevated ALT (1247) and ALP (1057) activity and bilirubin (11.9) and low BUN. CBC and radiographs were both within normal limits.

