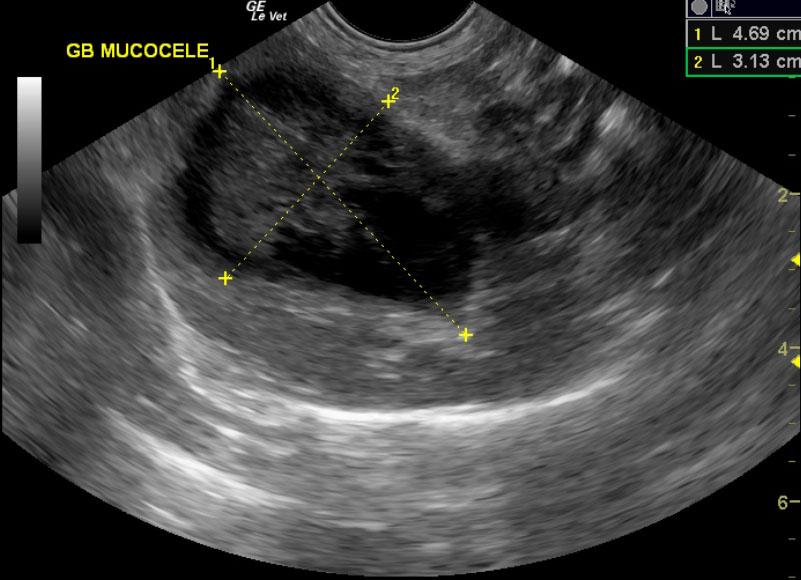
A 12-year-old FS Pomeranian was presented for acute vomiting and diarrhea. On physical examination, dyspnea, coughing, and a heart murmur were present. Urinalysis, T4, coagulation profile, and CBC were all within normal limits. Abnormalities on serum biochemistry were revealed elevated total proteins, globulin, liver enzyme activity, total bilirubin, and azotemia.
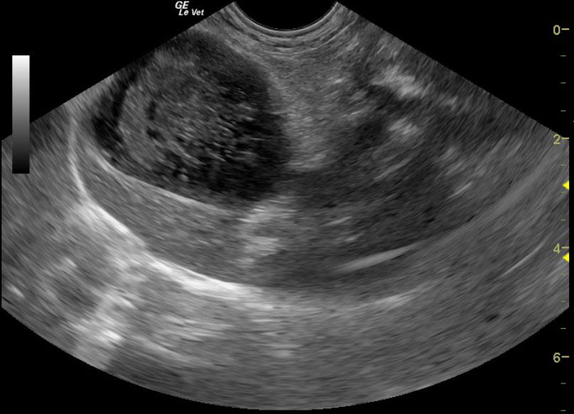
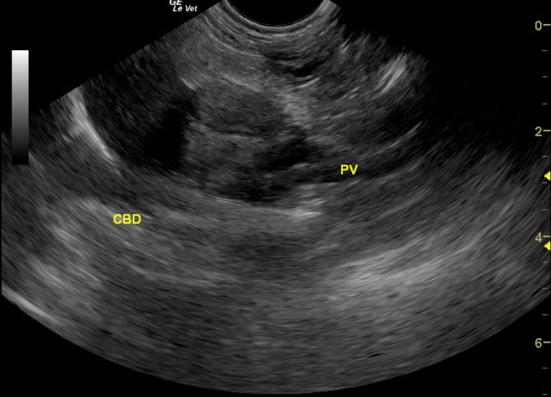
A 12-year-old FS Pomeranian was presented for acute vomiting and diarrhea. On physical examination, dyspnea, coughing, and a heart murmur were present. Urinalysis, T4, coagulation profile, and CBC were all within normal limits. Abnormalities on serum biochemistry were revealed elevated total proteins, globulin, liver enzyme activity, total bilirubin, and azotemia.


